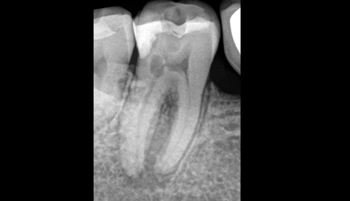
Catégories Non classé Cas de résorption radiculaire rare Auteur de l’article Par Dr Brice Riera Date de l’article 4 avril 2025 🔍 𝐂𝐚𝐬 𝐚𝐬𝐬𝐞𝐳 𝐫𝐚𝐫𝐞 𝐝’𝐮𝐧𝐞 𝐫𝐞́𝐬𝐨𝐫𝐩𝐭𝐢𝐨𝐧 𝐫𝐚𝐝𝐢𝐜𝐮𝐥𝐚𝐢𝐫𝐞 𝐢𝐧𝐭𝐞𝐫𝐧𝐞, située au niveau de la corne pulpaire distale de cette 47. ← Un retraitement canalaire nécessaire et suffisant ? → Congrès de l’Association Américaine d’Endodontistes 2025