Blog Blog Endodontie Dr. Brice Riera Vidéo : où placer son scialytique ?En savoir plusVidéo : 3 configurations pour fixer son microscope opératoireEn savoir plusVidéo : où positionner l’écran de retour ?En savoir plusVidéo : restauration directe composite sous microscope opératoireEn savoir plusVidéo : régler son microscope opératoireEn savoir plusVidéo : à savoir sur son localisateur d’apexEn savoir plusVidéo : formation microscopeVidéo : formation microscopeEn savoir plusVidéo : douleur sans lésion apicale visibleEn savoir plusCas lésion apicale asymptomatiqueCas lésion apicale asymptomatiqueEn savoir plusRéduction d’efficacité de l’hypochlorite de sodiumRéduction d’efficacité de l’hypochlorite de sodiumEn savoir plusHypochlorite du commerce et endodontieHypochlorite du commerce et endodontieEn savoir plusHypochlorite de sodium & irrigationHypochlorite de sodium & irrigationEn savoir plusLes différentes solutions d’irrigationLes différentes solutions d’irrigationEn savoir plusVidéo : modèle 3DEn savoir plusIrrigation et endodontieIrrigation et endodontieEn savoir plusCellules et résorptionCellules et résorptionEn savoir plusLes cellules participant au processus résorptifLes cellules participant au processus résorptifEn savoir plusLa PRRSLa PRRSEn savoir plusTissu dentaire et résorption radiculaire externe cervicaleTissu dentaire et résorption radiculaire externe cervicaleEn savoir plusRésorption radiculaire cervicale externe de canineRésorption radiculaire cervicale externe de canineEn savoir plusRésorption radiculaire cervicale externeRésorption radiculaire cervicale externeEn savoir plusVidéo : chirurgie endodontique et membrane du sinus maxillaireEn savoir plusLa diaphanisationLa diaphanisationEn savoir plusMV2 et premières molairesMV2 et premières molairesEn savoir plusVidéo : retraitement et instrument fracturéEn savoir plusCas anomalie de formation dentaireCas anomalie de formation dentaireEn savoir plusCourbures et limes manuellesCourbures et limes manuellesEn savoir plusTechnique d’obturation pour les DPITechnique d’obturation pour les DPIEn savoir plusTechniques de pose de digue en endodontieTechniques de pose de digue en endodontieEn savoir plusAccidents d’inhalation/ingestionAccidents d’inhalation/ingestionEn savoir plusChamp opératoire et douleur post-endodontique persistante ?Champ opératoire et douleur post-endodontique persistante ?En savoir plusVidéo : traumatologie et endodontieEn savoir plusLes freins à l’utilisation du champ opératoire en endodontieLes freins à l’utilisation du champ opératoire en endodontieEn savoir plusPrévalence de l’utilisation du champ opératoirePrévalence de l’utilisation du champ opératoireEn savoir plusEndodontie : champ opératoire et recommandationsEndodontie : champ opératoire et recommandationsEn savoir plusIntérêts du champ opératoire en endodontieIntérêts du champ opératoire en endodontieEn savoir plusInvention du champ opératoire dentaireInvention du champ opératoire dentaireEn savoir plusQuel protocole de désobturation pour ce dépassement de gutta ?Quel protocole de désobturation pour ce dépassement de gutta ?En savoir plusProtocole de désobturationEn savoir plusFacteur le plus important dans le traitement de canauxFacteur le plus important dans le traitement de canauxEn savoir plus7 éléments à relever sur cette dent 367 éléments à relever sur cette dent 36En savoir plusCas : traitement initial d’une 27Cas : traitement initial d’une 27En savoir plusIntérêt de la photo/vidéo sous microscope opératoireIntérêt de la photo/vidéo sous microscope opératoireEn savoir plusInstrument fracturé et endodontieInstrument fracturé et endodontieEn savoir plusL’endodontie si réalisable est-elle toujours indiquée ?L’endodontie si réalisable est-elle toujours indiquée ?En savoir plusCourbures légères et oblitérations canalairesCourbures légères et oblitérations canalairesEn savoir plusNos prochaines datesNos prochaines datesEn savoir plusCongrés de la société européenne d’endodontologieCongrés de la société européenne d’endodontologieEn savoir plusUne rentrée un peu particulière…Une rentrée un peu particulière…En savoir plusVidéo : instrument fracturéEn savoir plusCas commenté : calcification dentinaire et pulpoliteEn savoir plusDécision thérapeutique et pathologie médicaleDécision thérapeutique et pathologie médicaleEn savoir plusLe Process comm en management de cabinet dentaireLe Process comm en management de cabinet dentaireEn savoir plusChoix de conicité et épaisseur de dentine radiculaireChoix de conicité et épaisseur de dentine radiculaireEn savoir plusGestion des tâches au cabinetGestion des tâches au cabinetEn savoir plusTracé d’incisionTracé d’incisionEn savoir plusCas commenté par le Dr RieraEn savoir plusLa dentine péri-cervicaleLa dentine péri-cervicaleEn savoir plusComment gérer la comptabilité des cabinets dentairesComment gérer la comptabilité des cabinets dentairesEn savoir plusConséquences d’un traumatisme de la dent temporaire sur la dent permanenteConséquences d’un traumatisme de la dent temporaire sur la dent permanenteEn savoir plusEndodontie & tips productivitéEndodontie & tips productivitéEn savoir plusCas : nécrose pulpaireCas : nécrose pulpaireEn savoir plusErgonomie en endodontieEn savoir plusCauses des résorptions radiculairesCauses des résorptions radiculairesEn savoir plusMaladies auto-immunes et risques de lésion apicaleMaladies auto-immunes et risques de lésion apicaleEn savoir plusIA et endodontieIA et endodontieEn savoir plusHydroxyde de calcium ou ciments hydrauliques ?Hydroxyde de calcium ou ciments hydrauliques ?En savoir plusHydroxyde de calcium et resistance biomécanique de la dentHydroxyde de calcium et resistance biomécanique de la dentEn savoir plusRetour sur l’intervention du Dr Riera à l’ITI NiceRetour sur l’intervention du Dr Riera à l’ITI NiceEn savoir plusObturation du retraitement canalaireObturation du retraitement canalaireEn savoir plusCas : allodynie mécaniqueCas : allodynie mécaniqueEn savoir plusQuel serait votre tracé ?Quel serait votre tracé ?En savoir plusCas : fêlure à pénétration canalaireCas : fêlure à pénétration canalaireEn savoir plusTransmission en équipeEn savoir plusLésion apicale et nature de la dent adjacenteLésion apicale et nature de la dent adjacenteEn savoir plusImplantologie et endodontieImplantologie et endodontieEn savoir plusQue peut-on trouver sous une lésion carieuse profonde ?Que peut-on trouver sous une lésion carieuse profonde ?En savoir plusPlan de traitementPlan de traitementEn savoir plusPulpite aiguë irréversible et histologiePulpite aiguë irréversible et histologieEn savoir plusQue conditionnerait une indication de traitement canalaire ?Que conditionnerait une indication de traitement canalaire ?En savoir plusCas : parodontite apicale asymptomatiqueCas : parodontite apicale asymptomatiqueEn savoir plusIncidence des flare-upEn savoir plusLa douleur post-opératoire en endodontieEn savoir plusCas : patiente de 14 ansCas : patiente de 14 ansEn savoir plusAtteinte de la furcation et endodontieEn savoir plusPeut-on sauver cette dent ?Peut-on sauver cette dent ?En savoir plusTraitement canalaire initial & efficacité du point de vue de l’environnement osseuxTraitement canalaire initial & efficacité du point de vue de l’environnement osseuxEn savoir plusCas – Membrane kystiqueCas – Membrane kystiqueEn savoir plusDernière étape pour notre cycle endo-ParisDernière étape pour notre cycle endo-ParisEn savoir plusTraitement canalaire de cette 44Traitement canalaire de cette 44En savoir plusImplant à proximité d’une lésion apicale : quels risques de contamination ?Implant à proximité d’une lésion apicale : quels risques de contamination ?En savoir plusCas : ostéite condensanteCas : ostéite condensanteEn savoir plus5 point à retenir concernant la chirurgie de cette 215 point à retenir concernant la chirurgie de cette 21En savoir plusLes erreurs iatrogéniquesLes erreurs iatrogéniquesEn savoir plusDécision thérapeutique et endodontieDécision thérapeutique et endodontieEn savoir plusSAF : essai d’un nouvel instrumentSAF : essai d’un nouvel instrumentEn savoir plusFabrication de la Gutta PerchaFabrication de la Gutta PerchaEn savoir plusA quoi servait la gutta percha avant l’endodontie ?A quoi servait la gutta percha avant l’endodontie ?En savoir plusLa gutta percha un bon matériau d’obturation canalaire ?La gutta percha un bon matériau d’obturation canalaire ?En savoir plusClassification des ciments de scellement canalaireClassification des ciments de scellement canalaireEn savoir plusComposition des cônes deu gutta-perchaComposition des cônes deu gutta-perchaEn savoir plusLa pulpe : meilleure obturation à ce jour ?La pulpe : meilleure obturation à ce jour ?En savoir plusQu’utilisait-on avant les cônes de gutta percha ?Qu’utilisait-on avant les cônes de gutta percha ?En savoir plusLa dentine radiculaire : un bon support de collage ?La dentine radiculaire : un bon support de collage ?En savoir plusLe ciment de scellement canalaire à base de résine méthacrylateLe ciment de scellement canalaire à base de résine méthacrylateEn savoir plusLa thixotropieLa thixotropieEn savoir plusActu du cabinet Endodontium EDTM Paris 17eEn savoir plusDécision thérapeutique et prolongation de la durée de vie de la dentDécision thérapeutique et prolongation de la durée de vie de la dentEn savoir plusCarrière et évolution des décisions thérapeutiquesEn savoir plusLa décision thérapeutique s’effectue d’après la dentisterie basée sur les faitsLa décision thérapeutique s’effectue d’après la dentisterie basée sur les faitsEn savoir plusComment tester la fluidité d’un matériau d’obturation canalaire ?Comment tester la fluidité d’un matériau d’obturation canalaire ?En savoir plusDe quoi dépend la durabilité du scellement de ces 3 systèmes ?De quoi dépend la durabilité du scellement de ces 3 systèmes ?En savoir plus4 stratégies face à une obturation avec des cônes d’argentEn savoir plusQuel instrument fracturé dans cette racine mésiale ?Quel instrument fracturé dans cette racine mésiale ?En savoir plusCas : inefficacité d’un traitement canalaireCas : inefficacité d’un traitement canalaireEn savoir plusCas : couronné déposée par un correspondantCas : couronné déposée par un correspondantEn savoir plusCas : résorption radiculaire externe inflammatoire cervicale distaleCas : résorption radiculaire externe inflammatoire cervicale distaleEn savoir plusCas : chirurgie endodontique 21-22Cas : chirurgie endodontique 21-22En savoir plusCas : lésion apicale et latéro-radiculaireCas : lésion apicale et latéro-radiculaireEn savoir plusLésion endo-parodontale vraie, mixte ou combinéeLésion endo-parodontale vraie, mixte ou combinéeEn savoir plusCas : décision thérapeutique modifiée avec accord du patientCas : décision thérapeutique modifiée avec accord du patientEn savoir plusRetraitement 17 et isolationRetraitement 17 et isolationEn savoir plusCas : indication de chirurgie endodontiqueCas : indication de chirurgie endodontiqueEn savoir plusCas de cicatrisation osseuse en distal non satisfaisanteCas de cicatrisation osseuse en distal non satisfaisanteEn savoir plusCas : découverte d’une fêlure en plein traitementEn savoir plusCas de sensation de dent longueCas de sensation de dent longueEn savoir plusChirurgie Endodontique & préservation biomécaniqueChirurgie Endodontique & préservation biomécaniqueEn savoir plusSet-up au nouveau cabinet : focus sur l’appareil photoSet-up au nouveau cabinet : focus sur l’appareil photoEn savoir plusCuretage et résectionEn savoir plusComment gérer des canaux aussi larges ?Comment gérer des canaux aussi larges ?En savoir plusPourquoi 2 écrans d’ordinateur ?Pourquoi 2 écrans d’ordinateur ?En savoir plusSet-up au sein de notre nouveau cabinetEn savoir plusLe Starter Pack du CabinetLe Starter Pack du CabinetEn savoir plusAstuce ergonomie pour les endodontistes droitiersEn savoir plusIndications de régénération osseuse guidéeIndications de régénération osseuse guidéeEn savoir plusEndodontie par voie paralatineEndodontie par voie paralatineEn savoir plusCraze linesCraze linesEn savoir plusSynergie implanto-endoSynergie implanto-endoEn savoir plusRésorption radiculaire interne sur 42Résorption radiculaire interne sur 42En savoir plusFormation chirurgie endodontique @ParisEn savoir plusTraitement canalaire et extractionTraitement canalaire et extractionEn savoir plusSoirée conférence pour nos correspondantsSoirée conférence pour nos correspondantsEn savoir plusRégénération osseuse guidée en chirurgie endodontiqueEn savoir plusMétéo et pronostic endodontique : quel point commun ?Météo et pronostic endodontique : quel point commun ?En savoir plusLes risques au-delà de 2H d’intervention en chirurgie endodontiqueLes risques au-delà de 2H d’intervention en chirurgie endodontiqueEn savoir plusCongrès de l’Association Américaine d’Endodontistes 2025En savoir plusCas de résorption radiculaire rareCas de résorption radiculaire rareEn savoir plusUn retraitement canalaire nécessaire et suffisant ?Un retraitement canalaire nécessaire et suffisant ?En savoir plusPRRS : feuillet péricanalaire résistant à la résorptionPRRS : feuillet péricanalaire résistant à la résorptionEn savoir plusRésorption initiée dans le cémentRésorption initiée dans le cémentEn savoir plusRésorptions radiculaires cervicales externesRésorptions radiculaires cervicales externesEn savoir plusJournée TP sur le traitement initial – Endo AcadémieEn savoir plusClassification des fils de sutureClassification des fils de sutureEn savoir plusIntervention au DU d’endodontie de l’université de ParisIntervention au DU d’endodontie de l’université de ParisEn savoir plusIncision para marginale ou intra sulculaire ?Incision para marginale ou intra sulculaire ?En savoir plusJournée de TP du cycle endo ParisJournée de TP du cycle endo ParisEn savoir plusLes sutures en chirurgie endodontique : quel matériel ?Les sutures en chirurgie endodontique : quel matériel ?En savoir plusObturation monocone à froid et verticale à chaudObturation monocone à froid et verticale à chaudEn savoir plusSuspicion d’anatomie complexeSuspicion d’anatomie complexeEn savoir plusFacteurs de risque des résorptions radiculaires externesFacteurs de risque des résorptions radiculaires externesEn savoir plusPosséder un chat : facteur de résorption radiculaire externe cervicalePosséder un chat : facteur de résorption radiculaire externe cervicaleEn savoir plusODF : facteur de résorptions radiculaires externes cervicales ?ODF : facteur de résorptions radiculaires externes cervicales ?En savoir plusQuels sont les éléments radiographiques remarquables ici ?Quels sont les éléments radiographiques remarquables ici ?En savoir plusDoit-on traiter le canal ici ?Doit-on traiter le canal ici ?En savoir plusDévitaliser ou revitaliser ?En savoir plusRisque de péri-implantite et lésion apicale sur implant à proximitéRisque de péri-implantite et lésion apicale sur implant à proximitéEn savoir plusNécrose pulpaireNécrose pulpaireEn savoir plusFormation microscope opératoire – EDTM ParisFormation microscope opératoire – EDTM ParisEn savoir plusCas patient – microchirurgieCas patient – microchirurgieEn savoir plusRetraitement et prothèse dentaireRetraitement et prothèse dentaireEn savoir plusQuelle est la particularité de cette dent ?Quelle est la particularité de cette dent ?En savoir plusMicrochirurgie et étiologie des problèmes endodontiquesMicrochirurgie et étiologie des problèmes endodontiquesEn savoir plusCas : revitalisation à 4 ansCas : revitalisation à 4 ansEn savoir plus1re soirée de conférence au nouveau cabinetEn savoir plusMicrochirurgie et gradient thérapeutiqueMicrochirurgie et gradient thérapeutiqueEn savoir plusCas : pulpe déjà traitée, parodontite apicale symptomatiqueCas : pulpe déjà traitée, parodontite apicale symptomatiqueEn savoir plusCas patient : quel traitement auriez-vous proposé ?Cas patient : quel traitement auriez-vous proposé ?En savoir plusAnatomie rareAnatomie rareEn savoir plusC’est gagné pour toute la vie ?C’est gagné pour toute la vie ?En savoir plusRétro aspiration d’une lésion apicale purulenteEn savoir plusA quoi sert le retraitement canalaire ?A quoi sert le retraitement canalaire ?En savoir plusCas – résorption radiculaire externe inflammatoireCas – résorption radiculaire externe inflammatoireEn savoir plusTraitement de la perforationTraitement de la perforationEn savoir plusChirurgie endodontique et pronostic de guérisonChirurgie endodontique et pronostic de guérisonEn savoir plusDens invaginatus : quelles populations à risque ?Dens invaginatus : quelles populations à risque ?En savoir plusL’heure du déménagement a sonnéEn savoir plusLe traitement endodontique parfait n’existe pasLe traitement endodontique parfait n’existe pasEn savoir plusCas douleurs persistante après traitementCas douleurs persistante après traitementEn savoir plusProblèmes ergonomiquesProblèmes ergonomiquesEn savoir plusAFGSU de niveau 2AFGSU de niveau 2En savoir plusWash out de biomatériau dans la partie apicaleWash out de biomatériau dans la partie apicaleEn savoir plusTraitement des canaux courbesTraitement des canaux courbesEn savoir plusQuelle décision thérapeutique pour cette dent ?Quelle décision thérapeutique pour cette dent ?En savoir plusPronostic et cicatrisation en endodontiePronostic et cicatrisation en endodontieEn savoir plusCas : pulpe nécroséeCas : pulpe nécroséeEn savoir plusFocus ergonomie de travailFocus ergonomie de travailEn savoir plusEfficacité du traitement canalaireEfficacité du traitement canalaireEn savoir plusCas résorption radiculaire externeCas résorption radiculaire externeEn savoir plusEndodontie : jusqu’à quelle dent pouvons-nous aller ?Endodontie : jusqu’à quelle dent pouvons-nous aller ?En savoir plusVidéo : remise en place d’une cassette de traitementEn savoir plusPouvons-nous garantir 100% d’efficacité ici ?Pouvons-nous garantir 100% d’efficacité ici ?En savoir plusPourquoi notre tracé d’incision est-il modifié ?Pourquoi notre tracé d’incision est-il modifié ?En savoir plusVisibilité de l’isthmeVisibilité de l’isthmeEn savoir plusTraitement canalaire & hydroxyde de calciumTraitement canalaire & hydroxyde de calciumEn savoir plusPulpite aiguë irréversiblePulpite aiguë irréversibleEn savoir plusPréparation pour microchirurgie endodontiqueEn savoir plusPulpite aigüe irréversibleEn savoir plusDoit-on retraiter ici ?Doit-on retraiter ici ?En savoir plusLes coudures apicalesLes coudures apicalesEn savoir plusLes différentes stratégies en cas d’instrument fracturéEn savoir plus2 instruments fracturés dans la racine MV2 instruments fracturés dans la racine MVEn savoir plusComment organiser ses notesEn savoir plusLe meilleur biomatériau d’obturation a retroLe meilleur biomatériau d’obturation a retroEn savoir plusLongueur d’obturation a retro et pronostic endodontiqueLongueur d’obturation a retro et pronostic endodontiqueEn savoir plusTechniques d’hémostase et pronostic endodontiqueTechniques d’hémostase et pronostic endodontiqueEn savoir plusHauteur de résection idéale en endodontieHauteur de résection idéale en endodontieEn savoir plusLongueur de préparation idéale en chirurgie endodontiqueLongueur de préparation idéale en chirurgie endodontiqueEn savoir plusRetour sur la dernière soirée-conférence du cabinetEn savoir plusMicrochirurgie endodontique des dents 15 et 16Microchirurgie endodontique des dents 15 et 16En savoir plusQuelle est l’intervention appropriée ici ?Quelle est l’intervention appropriée ici ?En savoir plusChirurgie endodontique envisageable sur une 37 ?Chirurgie endodontique envisageable sur une 37 ?En savoir plusApprendre l’illustration graphiqueEn savoir plusLa décision thérapeutique et littérature scientifiqueLa décision thérapeutique et littérature scientifiqueEn savoir plusQuel est le meilleur service à rendre à ce patient ?Quel est le meilleur service à rendre à ce patient ?En savoir plusRetraitement canalaire ou microchirurgie endodontique ?Retraitement canalaire ou microchirurgie endodontique ?En savoir plusCanaux larges et techniques d’obturationCanaux larges et techniques d’obturationEn savoir plusFocus – Cas dent n°36Focus – Cas dent n°36En savoir plusFormation Chirurgie Endodontique à RennesEn savoir plusRevitalisation or not ?Revitalisation or not ?En savoir plusQuel signe d’une bonne santé pulpaire ?Quel signe d’une bonne santé pulpaire ?En savoir plusRisques liés à une intrusion sévèreRisques liés à une intrusion sévèreEn savoir plusCas intrusion sévère de la 11Cas intrusion sévère de la 11En savoir plusStage d’entrepriseStage d’entrepriseEn savoir plusQuelle suture pour cette 36 ?Quelle suture pour cette 36 ?En savoir plusVidéo : fin d’obturationVidéo : fin d’obturationEn savoir plusQuelle incision pour cette 36 ?Quelle incision pour cette 36 ?En savoir plusRésorption radiculaire : on traite ou ne traite pas ?Résorption radiculaire : on traite ou ne traite pas ?En savoir plusAnatomie de l’aiguille d’un fil de sutureAnatomie de l’aiguille d’un fil de sutureEn savoir plusInstrument fracturé et oblitération canalaireInstrument fracturé et oblitération canalaireEn savoir plusEndodontie et boxeEndodontie et boxeEn savoir plusIA & Endodontique – Mise en place des thérapeutiquesIA & Endodontique – Mise en place des thérapeutiquesEn savoir plusIA & Endodontie – Diagnostic EndodontiqueIA & Endodontie – Diagnostic EndodontiqueEn savoir plusIA et endodontie – l’écriture scientifiqueIA et endodontie – l’écriture scientifiqueEn savoir plusIA et endodontie – EnseignementIA et endodontie – EnseignementEn savoir plusL’IA et l’endodontie – recherche scientifiqueL’IA et l’endodontie – recherche scientifiqueEn savoir plusFin de l’étape d’obturation en microchirurgie endodontiqueEn savoir plusCas – Pulpe précédemment traitéeCas – Pulpe précédemment traitéeEn savoir plusQuelle décision thérapeutique ?Quelle décision thérapeutique ?En savoir plusCas : quasi-amputation radiculaireCas : quasi-amputation radiculaireEn savoir plusCas dent n°21Cas dent n°21En savoir plusCas : traitement canalaire et régénération osseuseCas : traitement canalaire et régénération osseuseEn savoir plusErgonomie de travailEn savoir plusCas de reprise chirurgicaleCas de reprise chirurgicaleEn savoir plusQuelle décision thérapeutique ?Quelle décision thérapeutique ?En savoir plusQuelle décision thérapeutique ?Quelle décision thérapeutique ?En savoir plusCAS : pourquoi un traitement canalaire ?CAS : pourquoi un traitement canalaire ?En savoir plusPas d’incision de décharge concernant la microchirurgie de la résorptionPas d’incision de décharge concernant la microchirurgie de la résorptionEn savoir plusLes 2 modes de fracture instrumentaleLes 2 modes de fracture instrumentaleEn savoir plusUn instrument fracturé ne pas de problème en soi…Un instrument fracturé ne pas de problème en soi…En savoir plusQue faire face à un instrument fracturé ?Que faire face à un instrument fracturé ?En savoir plusQuel est le problème concernant l’obturation du canal distal ?Quel est le problème concernant l’obturation du canal distal ?En savoir plusDiagnostic de pulpe précédemment traitée et parodontie apicale aigüeDiagnostic de pulpe précédemment traitée et parodontie apicale aigüeEn savoir plusFormez-vous à l’endodontie avec Dr RieraEn savoir plusTraitement de canal et pronosticsTraitement de canal et pronosticsEn savoir plusIndicateur de désinfection de canalIndicateur de désinfection de canalEn savoir plusCas de pulpe nécroséeCas de pulpe nécroséeEn savoir plusce que la radiographie 2D ne révèle pas ici ….ce que la radiographie 2D ne révèle pas ici ….En savoir plusBiocéramique injectée directement dans le canal…Biocéramique injectée directement dans le canal…En savoir plusIncision & microchirurgie endodontiqueIncision & microchirurgie endodontiqueEn savoir plusQuel traitement ?Quel traitement ?En savoir plusTraitement des incisives mandibulairesTraitement des incisives mandibulairesEn savoir plusCas : traitement canalaire techniquement difficileCas : traitement canalaire techniquement difficileEn savoir plusErgonomie en chirurgie endodontique : les suturesEn savoir plusC’est quoi l’angle de pointe ?En savoir plusC’est quoi l’angle de coupe ?C’est quoi l’angle de coupe ?En savoir plusC’est quoi l’angle d’hélice ?C’est quoi l’angle d’hélice ?En savoir plusC’est quoi le pitchC’est quoi le pitchEn savoir plusInstrumentation canalaire et défauts dentinairesInstrumentation canalaire et défauts dentinairesEn savoir plusTaille de cavité et techniques d’obturationTaille de cavité et techniques d’obturationEn savoir plusNe stérilisons pas les canauxNe stérilisons pas les canauxEn savoir plusRadiographie rétro-alvéolaireRadiographie rétro-alvéolaireEn savoir plusCas : ostium fistulaire dent 22Cas : ostium fistulaire dent 22En savoir plusIncision para-marginale pour la chirurgie endodontiqueIncision para-marginale pour la chirurgie endodontiqueEn savoir plusCrochet ou pointe de touche ?Crochet ou pointe de touche ?En savoir plusL’incertitude en endodontieL’incertitude en endodontieEn savoir plusCavité d’accès et obturationCavité d’accès et obturationEn savoir plusAtteinte de la furcation et risque d’extractionAtteinte de la furcation et risque d’extractionEn savoir plusAlvéolyse et risque d’extractionAlvéolyse et risque d’extractionEn savoir plusErgonomie et antisepsie en endodontieEn savoir plusEchec prothétique et nombre de paroi restanteEchec prothétique et nombre de paroi restanteEn savoir plusAbsence de perméabilité et risque de lésion apicaleEn savoir plusSurface coronaire et risque d’avulsionSurface coronaire et risque d’avulsionEn savoir plusPerforation non traitée et risque de lésion apicalePerforation non traitée et risque de lésion apicaleEn savoir plusCanal manqué et risque de lésion apicaleCanal manqué et risque de lésion apicaleEn savoir plusPulpotomie totale : les instrumentsPulpotomie totale : les instrumentsEn savoir plusCôtes de Gutta-percha avec biocéramiqueCôtes de Gutta-percha avec biocéramiqueEn savoir plusSilicates de calcium et processus de priseSilicates de calcium et processus de priseEn savoir plusLa radio 2D ici, ne permet pas de dépister …La radio 2D ici, ne permet pas de dépister …En savoir plusSilicates de calcium et humiditéSilicates de calcium et humiditéEn savoir plusPulpotomie partielle vs pulpotomie totalePulpotomie partielle vs pulpotomie totaleEn savoir plusComment savoir si une 17 est accessible par chirurgie endodontique ?Comment savoir si une 17 est accessible par chirurgie endodontique ?En savoir plusAnatomie apicaleAnatomie apicaleEn savoir plusDécision thérapeutique et facteurs de risqueDécision thérapeutique et facteurs de risqueEn savoir plusL’instrumentation canalaire seule…L’instrumentation canalaire seule…En savoir plusDiamètre apical et cicatrisation des lésions osseusesDiamètre apical et cicatrisation des lésions osseusesEn savoir plusLésions osseuses de part en partLésions osseuses de part en partEn savoir plusPronostic global intrinsèque de la dentPronostic global intrinsèque de la dentEn savoir plusEt pourquoi pas un traitement canalaire ?Et pourquoi pas un traitement canalaire ?En savoir plusThérapeutiques et dents sauvéesThérapeutiques et dents sauvéesEn savoir plusQuelle indication dans ce cas ?Quelle indication dans ce cas ?En savoir plusCherchez l’erreur…Cherchez l’erreur…En savoir plusStratégie d’isoloment en endodontieStratégie d’isoloment en endodontieEn savoir plusAlternative à l’alvulsion en cas de traitement canalaire inefficaceAlternative à l’alvulsion en cas de traitement canalaire inefficaceEn savoir plus6 moyens pour réaliser une cavité minimalement invasive6 moyens pour réaliser une cavité minimalement invasiveEn savoir plusTraiter ou ne pas traiter ?Traiter ou ne pas traiter ?En savoir plusOrthodontie et dents traitées au niveau canalaireOrthodontie et dents traitées au niveau canalaireEn savoir plusGutta chaude avec un ciment biocéramiqueGutta chaude avec un ciment biocéramiqueEn savoir plusFacteurs de risques du flare-upFacteurs de risques du flare-upEn savoir plusPriorité à la résection apicale ou au curetage ?Priorité à la résection apicale ou au curetage ?En savoir plusCauses des flare-upsCauses des flare-upsEn savoir plusFlare-up : facteurs de risque à identifier dès le questionnaire médicalFlare-up : facteurs de risque à identifier dès le questionnaire médicalEn savoir plusAntibiotiques et flare-ups ?Antibiotiques et flare-ups ?En savoir plusMicrochirurgie endodontiqueMicrochirurgie endodontiqueEn savoir plusMicrochirurgie endodontiqueMicrochirurgie endodontiqueEn savoir plusAmputation radiculaire & endodontieAmputation radiculaire & endodontieEn savoir plusRisque d’apparition suite à un (re)traitement canalaireRisque d’apparition suite à un (re)traitement canalaireEn savoir plusLes 4 composantes de la douleur en endodontieLes 4 composantes de la douleur en endodontieEn savoir plusDiagnostic différentiel & endodontieDiagnostic différentiel & endodontieEn savoir plusLes traitements thermiquesLes traitements thermiquesEn savoir plusCours : la douleur post-opératoire en endodontieCours : la douleur post-opératoire en endodontieEn savoir plusDouleur post-opératoire : la douleur émotionnelleDouleur post-opératoire : la douleur émotionnelleEn savoir plusNouvelle Endodontiste dans l’équipeNouvelle Endodontiste dans l’équipeEn savoir plus2 types d’échec face à une pulpotomie2 types d’échec face à une pulpotomieEn savoir plusSuperbe pulpotomieSuperbe pulpotomieEn savoir plusInstrument canalaire et design des cavités d’accèsInstrument canalaire et design des cavités d’accèsEn savoir plusUne forme de préparation ronde, dans un canal qui ne l’est pas…Une forme de préparation ronde, dans un canal qui ne l’est pas…En savoir plusIdée reçue : une conicité importante permet de mieux nettoyerIdée reçue : une conicité importante permet de mieux nettoyerEn savoir plusLa zone de dangerLa zone de dangerEn savoir plusPronostic endodontique & pronostic global de la dentPronostic endodontique & pronostic global de la dentEn savoir plusIntervention au cabinet ELAIntervention au cabinet ELAEn savoir plusDécision thérapeutique et endodontieDécision thérapeutique et endodontieEn savoir plusImplantologie et endodontieImplantologie et endodontieEn savoir plusCavité d’accès trop petiteCavité d’accès trop petiteEn savoir plusMicrochirurgie et endodontieMicrochirurgie et endodontieEn savoir plusCavité d’accès & endodontieCavité d’accès & endodontieEn savoir plusErgonomie en microchirurgie endodontiqueErgonomie en microchirurgie endodontiqueEn savoir plusLes cônes d’argentLes cônes d’argentEn savoir plusDifférence entre pâte et ciment de scellement canalaireDifférence entre pâte et ciment de scellement canalaireEn savoir plusDépassement de matériaux biocéramiquesDépassement de matériaux biocéramiquesEn savoir plusTester la fluidité d’un biomatériau endodontiqueTester la fluidité d’un biomatériau endodontiqueEn savoir plusLa fluidité des biomatériauxLa fluidité des biomatériauxEn savoir plusLa réaction de prise des matériaux biocéramiquesLa réaction de prise des matériaux biocéramiquesEn savoir plusDécollement en pleine épaisseurDécollement en pleine épaisseurEn savoir plusMatériaux biocéramiques et additifsMatériaux biocéramiques et additifsEn savoir plusMatériaux biocéramiques : classification par nature chimiqueMatériaux biocéramiques : classification par nature chimiqueEn savoir plusLes matériaux biocéramiques et endodontieLes matériaux biocéramiques et endodontieEn savoir plusClassification des matériaux biocéramiquesClassification des matériaux biocéramiquesEn savoir plusChoix du matériau d’obturation canalaireChoix du matériau d’obturation canalaireEn savoir plusLes matériaux biocéramiques sont également appelés matériaux hydrauliquesLes matériaux biocéramiques sont également appelés matériaux hydrauliquesEn savoir plusAnatomie et endondontieAnatomie et endondontieEn savoir plusCavité d’accès mini invasive et identification des canauxCavité d’accès mini invasive et identification des canauxEn savoir plusPlan de traitement & endodontiePlan de traitement & endodontieEn savoir plusDent permanente immature & endodontieDent permanente immature & endodontieEn savoir plusDPI & EndodontieDPI & EndodontieEn savoir plusCavité d’accès trop petite : quel est le problème principal ?Cavité d’accès trop petite : quel est le problème principal ?En savoir plusDiagnostic et endodontieDiagnostic et endodontieEn savoir plusEmbryologie, diagnostic & endodontieEmbryologie, diagnostic & endodontieEn savoir plusDécision thérapeutique et endodontieDécision thérapeutique et endodontieEn savoir plusType de prothèses et facteurs de risqueType de prothèses et facteurs de risqueEn savoir plusType de prothèse et facteurs de risqueType de prothèse et facteurs de risqueEn savoir plus4 conditions améliorent la survie des dents traitées au niveau canalaire4 conditions améliorent la survie des dents traitées au niveau canalaireEn savoir plusContacts proximaux et facteurs de risqueContacts proximaux et facteurs de risqueEn savoir plusHAS 2024 : l’antibioprophylaxie en endodontieHAS 2024 : l’antibioprophylaxie en endodontieEn savoir plusHAS 2024 : actes endodontiques autorisés sur patient haut risque d’endocardite infectieuseHAS 2024 : actes endodontiques autorisés sur patient haut risque d’endocardite infectieuseEn savoir plusHAS 2024 : nouvelles recommandationsHAS 2024 : nouvelles recommandationsEn savoir plusPlan de traitement & endodontiePlan de traitement & endodontieEn savoir plusDécision thérapeutique et pathologies médicalesDécision thérapeutique et pathologies médicalesEn savoir plusNouvelles recommandations de la HAS 2024Nouvelles recommandations de la HAS 2024En savoir plusC’est quoi le Prolia (Denosumab) ?C’est quoi le Prolia (Denosumab) ?En savoir plusBiphosphonate/anticorps monoclonal : recommandationsBiphosphonate/anticorps monoclonal : recommandationsEn savoir plusDe quelle pathologie s’agit-il ?De quelle pathologie s’agit-il ?En savoir plusQuel est le rôle de l’obturation ?Quel est le rôle de l’obturation ?En savoir plusBiomatériaux d’obturation & cahier des chargesBiomatériaux d’obturation & cahier des chargesEn savoir plusDouleur & endodontie : les différentes douleurs post-opératoiresDouleur & endodontie : les différentes douleurs post-opératoiresEn savoir plusDouleur & endodontie : douleur hétérotopiqueDouleur & endodontie : douleur hétérotopiqueEn savoir plusBiomatériau et étanchéitéBiomatériau et étanchéitéEn savoir plusRadio-opacité des biomatériaux d’obturation canalaireRadio-opacité des biomatériaux d’obturation canalaireEn savoir plusLa manipulation des biomatériaux endodontiquesLa manipulation des biomatériaux endodontiquesEn savoir plusLes ciments de scellement canalaireLes ciments de scellement canalaireEn savoir plusFormation Chirurgie Endodontique 25-26 mars 2024Formation Chirurgie Endodontique 25-26 mars 2024En savoir plusLe biomatériau d’obturation idéalLe biomatériau d’obturation idéalEn savoir plusRetour sur le 1er TP du Cycle Endo ParisRetour sur le 1er TP du Cycle Endo ParisEn savoir plusDiagnostic & décision thérapeutiqueDiagnostic & décision thérapeutiqueEn savoir plusDécision ThérapeutiqueDécision ThérapeutiqueEn savoir plusChirurgie EndodontiqueChirurgie EndodontiqueEn savoir plusRetraiter ou extraire ?Retraiter ou extraire ?En savoir plusRetraitement canalaireRetraitement canalaireEn savoir plusGestion des courburesGestion des courburesEn savoir plusRestauration de la dent dépulpéeRestauration de la dent dépulpéeEn savoir plusRésorption radiculaire externe cervicaleRésorption radiculaire externe cervicaleEn savoir plusComposition de la pulpeComposition de la pulpeEn savoir plusLa dépose de tenon fibréLa dépose de tenon fibréEn savoir plusGestion d’une perforationGestion d’une perforationEn savoir plusDépose d’instrument fracturéDépose d’instrument fracturéEn savoir plusDécision thérapeutiqueDécision thérapeutiqueEn savoir plusLes traitements initiaux sont-ils tous simples ?Les traitements initiaux sont-ils tous simples ?En savoir plusLe nettoyage des isthmesLe nettoyage des isthmesEn savoir plusHistoire : l’usage de l’alliage NiTiHistoire : l’usage de l’alliage NiTiEn savoir plusRadiographie en endodontie : nécessaire et suffisante ?Radiographie en endodontie : nécessaire et suffisante ?En savoir plusQuel est le problème avec les fêlures ou cracks ?Quel est le problème avec les fêlures ou cracks ?En savoir plusL’alliage NiTi et la dentisterieL’alliage NiTi et la dentisterieEn savoir plusLes conséquences d’un mauvais choix de diamètre apicalLes conséquences d’un mauvais choix de diamètre apicalEn savoir plusQuel est le diamètre apical idéal ?Quel est le diamètre apical idéal ?En savoir plusTraiter les canaux, c’est travailler la dentineTraiter les canaux, c’est travailler la dentineEn savoir plusChoisir le bon diamètre de préparation apicaleChoisir le bon diamètre de préparation apicaleEn savoir plusCas fracture incomplète de la 21Cas fracture incomplète de la 21En savoir plusDiamètre apical trop largeDiamètre apical trop largeEn savoir plusCas chirurgie endodontique extra-oraleCas chirurgie endodontique extra-oraleEn savoir plusLes risques de l’usage d’un instrument trop ridige en endodontieLes risques de l’usage d’un instrument trop ridige en endodontieEn savoir plusQu’est-ce que le minimalement invasif ?Qu’est-ce que le minimalement invasif ?En savoir plusEst-il toujours pertinent de traiter une dent canalairement ?Est-il toujours pertinent de traiter une dent canalairement ?En savoir plusTraitement canalaire des 2 canaux de la 32Traitement canalaire des 2 canaux de la 32En savoir plusConfigurations canalaires des incisives mandibulairesConfigurations canalaires des incisives mandibulairesEn savoir plusDiagnostic de nécrose pulpaireDiagnostic de nécrose pulpaireEn savoir plusCas traumatisme dentaire Eva, 11 ansCas traumatisme dentaire Eva, 11 ansEn savoir plusCavité d’accès minimalement invasiveCavité d’accès minimalement invasiveEn savoir plusDiagnostic nécrose pulpaire & abcès apical aiguëDiagnostic nécrose pulpaire & abcès apical aiguëEn savoir plusCas pulpite modéréeCas pulpite modéréeEn savoir plus3 faits sur la résorption radiculaire externe cervicale3 faits sur la résorption radiculaire externe cervicaleEn savoir plusRésorptions radiculaires cervicales externesRésorptions radiculaires cervicales externesEn savoir plusLésion d’origine non-endodontiqueLésion d’origine non-endodontiqueEn savoir plusRetraitement canalaire 16Retraitement canalaire 16En savoir plusAnatomie d’une 27 en CAnatomie d’une 27 en CEn savoir plusClassification des résorptions radiculaires externesClassification des résorptions radiculaires externesEn savoir plusLes angles d’hélicesLes angles d’hélicesEn savoir plusDUEEC : retour sur 60 cas de traitements canalaires, réflexions et évolutionsDUEEC : retour sur 60 cas de traitements canalaires, réflexions et évolutionsEn savoir plusLes limites des radiographies rétro-alvéolairesLes limites des radiographies rétro-alvéolairesEn savoir plusCas de pulpotomie totaleCas de pulpotomie totaleEn savoir plusClassification des diagnostics pulpairesClassification des diagnostics pulpairesEn savoir plusCycle Endo 2024Cycle Endo 2024En savoir plusConicité anatomiqueConicité anatomiqueEn savoir plusClassification des fêlures/fractures dentairesClassification des fêlures/fractures dentairesEn savoir plusLa dilacération corono-radiculaireLa dilacération corono-radiculaireEn savoir plusDents traitées canalairement et risque d’extractionDents traitées canalairement et risque d’extractionEn savoir plusTaux de survie des dents traitées et couronnées avec fêluresTaux de survie des dents traitées et couronnées avec fêluresEn savoir plusL’effet ferruleL’effet ferruleEn savoir plusLes lésions endo-parodontalesLes lésions endo-parodontalesEn savoir plusBonne année 2024Bonne année 2024En savoir plusRelation ODF – EndodontieRelation ODF – EndodontieEn savoir plusLa méthode des éléments finisLa méthode des éléments finisEn savoir plusLes conséquences d’une résection apicale vs une alvéolyse horizontaleLes conséquences d’une résection apicale vs une alvéolyse horizontaleEn savoir plusEndodontistes et troubles musculo-squelettiquesEndodontistes et troubles musculo-squelettiquesEn savoir plusCas de canal non traitéCas de canal non traitéEn savoir plusEchec d’origine endodontiqueEchec d’origine endodontiqueEn savoir plusCas – Traitement canalaireCas – Traitement canalaireEn savoir plusQue feriez-vous pour cette canine ?Que feriez-vous pour cette canine ?En savoir plusCas lésion carieuse avancée et pulpite aiguë : quelle zone de contamination ?Cas lésion carieuse avancée et pulpite aiguë : quelle zone de contamination ?En savoir plusMoyenne des diamètres apicaux anatomiques selon le type de dentMoyenne des diamètres apicaux anatomiques selon le type de dentEn savoir plusQuel est le % de risque qu’une dent traitée au niveau canalaire, soit extraite pour raison endodontique ?Quel est le % de risque qu’une dent traitée au niveau canalaire, soit extraite pour raison endodontique ?En savoir plusQuelle est la valeur la plus importante dans la prise de décision thérapeutique des patients ?Quelle est la valeur la plus importante dans la prise de décision thérapeutique des patients ?En savoir plusParodontite apicale symptomatique sur pulpe précédemment traitéeParodontite apicale symptomatique sur pulpe précédemment traitéeEn savoir plusSeuil de bactéries et lésion osseuse apicaleSeuil de bactéries et lésion osseuse apicaleEn savoir plusEvidence-based dentistryEvidence-based dentistryEn savoir plusTemps d’instrumentation canalaireTemps d’instrumentation canalaireEn savoir plusLe pronostic endodontiqueLe pronostic endodontiqueEn savoir plusLes raisons d’extraire des dents traitées au niveau canalaireLes raisons d’extraire des dents traitées au niveau canalaireEn savoir plusRetour sur le 16 novembre : endodontie minimalement invasiveRetour sur le 16 novembre : endodontie minimalement invasiveEn savoir plusAlignement du centre du foramen avec le vertex de la dentAlignement du centre du foramen avec le vertex de la dentEn savoir plusOù retrouve-t-on la Gutta-Percha ?Où retrouve-t-on la Gutta-Percha ?En savoir plusRestaurer une cavité ultra minimalement invasive par restauration directe compositeRestaurer une cavité ultra minimalement invasive par restauration directe compositeEn savoir plusGéométrie de sectionGéométrie de sectionEn savoir plusL’anatomie apicaleL’anatomie apicaleEn savoir plusAutres applications de la gutta-perchaAutres applications de la gutta-perchaEn savoir plusComposition de la Gutta-PerchaComposition de la Gutta-PerchaEn savoir plusLongueur de la partie active de nos instruments canalairesLongueur de la partie active de nos instruments canalairesEn savoir plusLésion osseuse apicale et bactériesLésion osseuse apicale et bactériesEn savoir plusLes éléments de resistance biomécanique de la dentLes éléments de resistance biomécanique de la dentEn savoir plusComment calculer la conicité d’un instrument canalaire ?Comment calculer la conicité d’un instrument canalaire ?En savoir plusInactivateurs et chlorine de l’hypochorite de sodiumInactivateurs et chlorine de l’hypochorite de sodiumEn savoir plusEndo & photo : cas d’une thérapeutique d’extractionEndo & photo : cas d’une thérapeutique d’extractionEn savoir plusQuelques règles anatomiques pour une molaire mandibulaireQuelques règles anatomiques pour une molaire mandibulaireEn savoir plusRetour sur le congrès NEXTGEN du 12 janvierRetour sur le congrès NEXTGEN du 12 janvierEn savoir plusRacines et angle de courbureRacines et angle de courbureEn savoir plusQuelles sont les propriétés de l’irrigant idéal ?Quelles sont les propriétés de l’irrigant idéal ?En savoir plusFormation : utilisation du microscope opératoire en omnipratiqueFormation : utilisation du microscope opératoire en omnipratiqueEn savoir plusL’instrumentation permet-elle de toucher toutes les parois canalaires ?L’instrumentation permet-elle de toucher toutes les parois canalaires ?En savoir plusConférence : 16 Novembre – Endodontie Minimalement invasiveConférence : 16 Novembre – Endodontie Minimalement invasiveEn savoir plusQuel est le rôle de l’hypochlorite au cours de la préparation chimio-mécanique ?Quel est le rôle de l’hypochlorite au cours de la préparation chimio-mécanique ?En savoir plusJusqu’où doit être réalisée la résection apicale en chirurgie endodontique ?Jusqu’où doit être réalisée la résection apicale en chirurgie endodontique ?En savoir plusLes infections canalairesLes infections canalairesEn savoir plusLes différentes cavités d’accèsLes différentes cavités d’accèsEn savoir plusPulpite sévère : plan de traitementPulpite sévère : plan de traitementEn savoir plusPulpe nécrosée et abcès apical symptomatiquePulpe nécrosée et abcès apical symptomatiqueEn savoir plus𝐐𝐮𝐞𝐥𝐬 𝐬𝐨𝐧𝐭 𝐥𝐞𝐬 𝐞́𝐥𝐞́𝐦𝐞𝐧𝐭𝐬 𝐨𝐛𝐬𝐞𝐫𝐯𝐚𝐛𝐥𝐞𝐬 𝐬𝐮𝐫 𝐜𝐞𝐭𝐭𝐞 𝐫𝐚𝐝𝐢𝐨𝐠𝐫𝐚𝐩𝐡𝐢𝐞 𝟐𝐃 ?𝐐𝐮𝐞𝐥𝐬 𝐬𝐨𝐧𝐭 𝐥𝐞𝐬 𝐞́𝐥𝐞́𝐦𝐞𝐧𝐭𝐬 𝐨𝐛𝐬𝐞𝐫𝐯𝐚𝐛𝐥𝐞𝐬 𝐬𝐮𝐫 𝐜𝐞𝐭𝐭𝐞 𝐫𝐚𝐝𝐢𝐨𝐠𝐫𝐚𝐩𝐡𝐢𝐞 𝟐𝐃 ?En savoir plus𝐑𝐞𝐯𝐢𝐭𝐚𝐥𝐢𝐬𝐚𝐭𝐢𝐨𝐧𝐬 𝐬𝐮𝐫 𝐝𝐞𝐧𝐭𝐬 𝐩𝐞𝐫𝐦𝐚𝐧𝐞𝐧𝐭𝐞𝐬𝐑𝐞𝐯𝐢𝐭𝐚𝐥𝐢𝐬𝐚𝐭𝐢𝐨𝐧𝐬 𝐬𝐮𝐫 𝐝𝐞𝐧𝐭𝐬 𝐩𝐞𝐫𝐦𝐚𝐧𝐞𝐧𝐭𝐞𝐬En savoir plusPoint lambeau/suturePoint lambeau/sutureEn savoir plusRésorption radiculaire externe inflammatoire à porte d’entrée mésialeRésorption radiculaire externe inflammatoire à porte d’entrée mésialeEn savoir plusObturation d’un canal latéralObturation d’un canal latéralEn savoir plusQuels sont les signes cliniques qui orientent vers le diagnostic de fêlure/fracture de façon statistiquement significative ?Quels sont les signes cliniques qui orientent vers le diagnostic de fêlure/fracture de façon statistiquement significative ?En savoir plusCas d’une Parodontite apicale aigüe en rapport avec une infection intra-canalaireCas d’une Parodontite apicale aigüe en rapport avec une infection intra-canalaireEn savoir plus
Réduction d’efficacité de l’hypochlorite de sodiumRéduction d’efficacité de l’hypochlorite de sodiumEn savoir plus
Les cellules participant au processus résorptifLes cellules participant au processus résorptifEn savoir plus
Tissu dentaire et résorption radiculaire externe cervicaleTissu dentaire et résorption radiculaire externe cervicaleEn savoir plus
Résorption radiculaire cervicale externe de canineRésorption radiculaire cervicale externe de canineEn savoir plus
Champ opératoire et douleur post-endodontique persistante ?Champ opératoire et douleur post-endodontique persistante ?En savoir plus
Les freins à l’utilisation du champ opératoire en endodontieLes freins à l’utilisation du champ opératoire en endodontieEn savoir plus
Prévalence de l’utilisation du champ opératoirePrévalence de l’utilisation du champ opératoireEn savoir plus
Endodontie : champ opératoire et recommandationsEndodontie : champ opératoire et recommandationsEn savoir plus
Quel protocole de désobturation pour ce dépassement de gutta ?Quel protocole de désobturation pour ce dépassement de gutta ?En savoir plus
Facteur le plus important dans le traitement de canauxFacteur le plus important dans le traitement de canauxEn savoir plus
Intérêt de la photo/vidéo sous microscope opératoireIntérêt de la photo/vidéo sous microscope opératoireEn savoir plus
L’endodontie si réalisable est-elle toujours indiquée ?L’endodontie si réalisable est-elle toujours indiquée ?En savoir plus
Courbures légères et oblitérations canalairesCourbures légères et oblitérations canalairesEn savoir plus
Congrés de la société européenne d’endodontologieCongrés de la société européenne d’endodontologieEn savoir plus
Décision thérapeutique et pathologie médicaleDécision thérapeutique et pathologie médicaleEn savoir plus
Le Process comm en management de cabinet dentaireLe Process comm en management de cabinet dentaireEn savoir plus
Choix de conicité et épaisseur de dentine radiculaireChoix de conicité et épaisseur de dentine radiculaireEn savoir plus
Comment gérer la comptabilité des cabinets dentairesComment gérer la comptabilité des cabinets dentairesEn savoir plus
Conséquences d’un traumatisme de la dent temporaire sur la dent permanenteConséquences d’un traumatisme de la dent temporaire sur la dent permanenteEn savoir plus
Maladies auto-immunes et risques de lésion apicaleMaladies auto-immunes et risques de lésion apicaleEn savoir plus
Hydroxyde de calcium ou ciments hydrauliques ?Hydroxyde de calcium ou ciments hydrauliques ?En savoir plus
Hydroxyde de calcium et resistance biomécanique de la dentHydroxyde de calcium et resistance biomécanique de la dentEn savoir plus
Retour sur l’intervention du Dr Riera à l’ITI NiceRetour sur l’intervention du Dr Riera à l’ITI NiceEn savoir plus
Lésion apicale et nature de la dent adjacenteLésion apicale et nature de la dent adjacenteEn savoir plus
Que peut-on trouver sous une lésion carieuse profonde ?Que peut-on trouver sous une lésion carieuse profonde ?En savoir plus
Que conditionnerait une indication de traitement canalaire ?Que conditionnerait une indication de traitement canalaire ?En savoir plus
Traitement canalaire initial & efficacité du point de vue de l’environnement osseuxTraitement canalaire initial & efficacité du point de vue de l’environnement osseuxEn savoir plus
Implant à proximité d’une lésion apicale : quels risques de contamination ?Implant à proximité d’une lésion apicale : quels risques de contamination ?En savoir plus
5 point à retenir concernant la chirurgie de cette 215 point à retenir concernant la chirurgie de cette 21En savoir plus
A quoi servait la gutta percha avant l’endodontie ?A quoi servait la gutta percha avant l’endodontie ?En savoir plus
La gutta percha un bon matériau d’obturation canalaire ?La gutta percha un bon matériau d’obturation canalaire ?En savoir plus
Classification des ciments de scellement canalaireClassification des ciments de scellement canalaireEn savoir plus
Qu’utilisait-on avant les cônes de gutta percha ?Qu’utilisait-on avant les cônes de gutta percha ?En savoir plus
La dentine radiculaire : un bon support de collage ?La dentine radiculaire : un bon support de collage ?En savoir plus
Le ciment de scellement canalaire à base de résine méthacrylateLe ciment de scellement canalaire à base de résine méthacrylateEn savoir plus
Décision thérapeutique et prolongation de la durée de vie de la dentDécision thérapeutique et prolongation de la durée de vie de la dentEn savoir plus
La décision thérapeutique s’effectue d’après la dentisterie basée sur les faitsLa décision thérapeutique s’effectue d’après la dentisterie basée sur les faitsEn savoir plus
Comment tester la fluidité d’un matériau d’obturation canalaire ?Comment tester la fluidité d’un matériau d’obturation canalaire ?En savoir plus
De quoi dépend la durabilité du scellement de ces 3 systèmes ?De quoi dépend la durabilité du scellement de ces 3 systèmes ?En savoir plus
Quel instrument fracturé dans cette racine mésiale ?Quel instrument fracturé dans cette racine mésiale ?En savoir plus
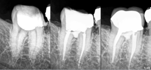
Cas : inefficacité d’un traitement canalaireCas : inefficacité d’un traitement canalaireEn savoir plus
Cas : résorption radiculaire externe inflammatoire cervicale distaleCas : résorption radiculaire externe inflammatoire cervicale distaleEn savoir plus
Lésion endo-parodontale vraie, mixte ou combinéeLésion endo-parodontale vraie, mixte ou combinéeEn savoir plus
Cas : décision thérapeutique modifiée avec accord du patientCas : décision thérapeutique modifiée avec accord du patientEn savoir plus
Cas de cicatrisation osseuse en distal non satisfaisanteCas de cicatrisation osseuse en distal non satisfaisanteEn savoir plus
Chirurgie Endodontique & préservation biomécaniqueChirurgie Endodontique & préservation biomécaniqueEn savoir plus
Set-up au nouveau cabinet : focus sur l’appareil photoSet-up au nouveau cabinet : focus sur l’appareil photoEn savoir plus
Météo et pronostic endodontique : quel point commun ?Météo et pronostic endodontique : quel point commun ?En savoir plus
Les risques au-delà de 2H d’intervention en chirurgie endodontiqueLes risques au-delà de 2H d’intervention en chirurgie endodontiqueEn savoir plus
Un retraitement canalaire nécessaire et suffisant ?Un retraitement canalaire nécessaire et suffisant ?En savoir plus
PRRS : feuillet péricanalaire résistant à la résorptionPRRS : feuillet péricanalaire résistant à la résorptionEn savoir plus
Résorptions radiculaires cervicales externesRésorptions radiculaires cervicales externesEn savoir plus
Intervention au DU d’endodontie de l’université de ParisIntervention au DU d’endodontie de l’université de ParisEn savoir plus
Incision para marginale ou intra sulculaire ?Incision para marginale ou intra sulculaire ?En savoir plus
Les sutures en chirurgie endodontique : quel matériel ?Les sutures en chirurgie endodontique : quel matériel ?En savoir plus
Obturation monocone à froid et verticale à chaudObturation monocone à froid et verticale à chaudEn savoir plus
Facteurs de risque des résorptions radiculaires externesFacteurs de risque des résorptions radiculaires externesEn savoir plus
Posséder un chat : facteur de résorption radiculaire externe cervicalePosséder un chat : facteur de résorption radiculaire externe cervicaleEn savoir plus
ODF : facteur de résorptions radiculaires externes cervicales ?ODF : facteur de résorptions radiculaires externes cervicales ?En savoir plus
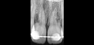
Quels sont les éléments radiographiques remarquables ici ?Quels sont les éléments radiographiques remarquables ici ?En savoir plus
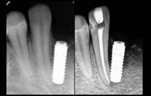
Risque de péri-implantite et lésion apicale sur implant à proximitéRisque de péri-implantite et lésion apicale sur implant à proximitéEn savoir plus
Formation microscope opératoire – EDTM ParisFormation microscope opératoire – EDTM ParisEn savoir plus
Microchirurgie et étiologie des problèmes endodontiquesMicrochirurgie et étiologie des problèmes endodontiquesEn savoir plus
Cas : pulpe déjà traitée, parodontite apicale symptomatiqueCas : pulpe déjà traitée, parodontite apicale symptomatiqueEn savoir plus
Cas patient : quel traitement auriez-vous proposé ?Cas patient : quel traitement auriez-vous proposé ?En savoir plus
Cas – résorption radiculaire externe inflammatoireCas – résorption radiculaire externe inflammatoireEn savoir plus
Chirurgie endodontique et pronostic de guérisonChirurgie endodontique et pronostic de guérisonEn savoir plus
Dens invaginatus : quelles populations à risque ?Dens invaginatus : quelles populations à risque ?En savoir plus
Le traitement endodontique parfait n’existe pasLe traitement endodontique parfait n’existe pasEn savoir plus
Wash out de biomatériau dans la partie apicaleWash out de biomatériau dans la partie apicaleEn savoir plus
Quelle décision thérapeutique pour cette dent ?Quelle décision thérapeutique pour cette dent ?En savoir plus
Endodontie : jusqu’à quelle dent pouvons-nous aller ?Endodontie : jusqu’à quelle dent pouvons-nous aller ?En savoir plus
Pouvons-nous garantir 100% d’efficacité ici ?Pouvons-nous garantir 100% d’efficacité ici ?En savoir plus
Pourquoi notre tracé d’incision est-il modifié ?Pourquoi notre tracé d’incision est-il modifié ?En savoir plus
Le meilleur biomatériau d’obturation a retroLe meilleur biomatériau d’obturation a retroEn savoir plus
Longueur d’obturation a retro et pronostic endodontiqueLongueur d’obturation a retro et pronostic endodontiqueEn savoir plus
Techniques d’hémostase et pronostic endodontiqueTechniques d’hémostase et pronostic endodontiqueEn savoir plus
Longueur de préparation idéale en chirurgie endodontiqueLongueur de préparation idéale en chirurgie endodontiqueEn savoir plus
Microchirurgie endodontique des dents 15 et 16Microchirurgie endodontique des dents 15 et 16En savoir plus
Chirurgie endodontique envisageable sur une 37 ?Chirurgie endodontique envisageable sur une 37 ?En savoir plus
La décision thérapeutique et littérature scientifiqueLa décision thérapeutique et littérature scientifiqueEn savoir plus
Quel est le meilleur service à rendre à ce patient ?Quel est le meilleur service à rendre à ce patient ?En savoir plus
Retraitement canalaire ou microchirurgie endodontique ?Retraitement canalaire ou microchirurgie endodontique ?En savoir plus
Résorption radiculaire : on traite ou ne traite pas ?Résorption radiculaire : on traite ou ne traite pas ?En savoir plus
Instrument fracturé et oblitération canalaireInstrument fracturé et oblitération canalaireEn savoir plus
IA & Endodontique – Mise en place des thérapeutiquesIA & Endodontique – Mise en place des thérapeutiquesEn savoir plus
L’IA et l’endodontie – recherche scientifiqueL’IA et l’endodontie – recherche scientifiqueEn savoir plus
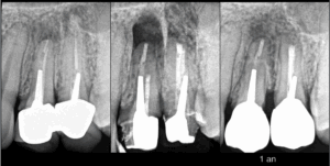
Cas : traitement canalaire et régénération osseuseCas : traitement canalaire et régénération osseuseEn savoir plus
Pas d’incision de décharge concernant la microchirurgie de la résorptionPas d’incision de décharge concernant la microchirurgie de la résorptionEn savoir plus
Un instrument fracturé ne pas de problème en soi…Un instrument fracturé ne pas de problème en soi…En savoir plus
Quel est le problème concernant l’obturation du canal distal ?Quel est le problème concernant l’obturation du canal distal ?En savoir plus
Diagnostic de pulpe précédemment traitée et parodontie apicale aigüeDiagnostic de pulpe précédemment traitée et parodontie apicale aigüeEn savoir plus
ce que la radiographie 2D ne révèle pas ici ….ce que la radiographie 2D ne révèle pas ici ….En savoir plus
Biocéramique injectée directement dans le canal…Biocéramique injectée directement dans le canal…En savoir plus
Cas : traitement canalaire techniquement difficileCas : traitement canalaire techniquement difficileEn savoir plus
Instrumentation canalaire et défauts dentinairesInstrumentation canalaire et défauts dentinairesEn savoir plus
Incision para-marginale pour la chirurgie endodontiqueIncision para-marginale pour la chirurgie endodontiqueEn savoir plus
Atteinte de la furcation et risque d’extractionAtteinte de la furcation et risque d’extractionEn savoir plus
Echec prothétique et nombre de paroi restanteEchec prothétique et nombre de paroi restanteEn savoir plus
Perforation non traitée et risque de lésion apicalePerforation non traitée et risque de lésion apicaleEn savoir plus
La radio 2D ici, ne permet pas de dépister …La radio 2D ici, ne permet pas de dépister …En savoir plus
Comment savoir si une 17 est accessible par chirurgie endodontique ?Comment savoir si une 17 est accessible par chirurgie endodontique ?En savoir plus
Décision thérapeutique et facteurs de risqueDécision thérapeutique et facteurs de risqueEn savoir plus
Diamètre apical et cicatrisation des lésions osseusesDiamètre apical et cicatrisation des lésions osseusesEn savoir plus
Alternative à l’alvulsion en cas de traitement canalaire inefficaceAlternative à l’alvulsion en cas de traitement canalaire inefficaceEn savoir plus
6 moyens pour réaliser une cavité minimalement invasive6 moyens pour réaliser une cavité minimalement invasiveEn savoir plus
Orthodontie et dents traitées au niveau canalaireOrthodontie et dents traitées au niveau canalaireEn savoir plus
Priorité à la résection apicale ou au curetage ?Priorité à la résection apicale ou au curetage ?En savoir plus
Flare-up : facteurs de risque à identifier dès le questionnaire médicalFlare-up : facteurs de risque à identifier dès le questionnaire médicalEn savoir plus
Risque d’apparition suite à un (re)traitement canalaireRisque d’apparition suite à un (re)traitement canalaireEn savoir plus
Les 4 composantes de la douleur en endodontieLes 4 composantes de la douleur en endodontieEn savoir plus
Cours : la douleur post-opératoire en endodontieCours : la douleur post-opératoire en endodontieEn savoir plus
Douleur post-opératoire : la douleur émotionnelleDouleur post-opératoire : la douleur émotionnelleEn savoir plus
Instrument canalaire et design des cavités d’accèsInstrument canalaire et design des cavités d’accèsEn savoir plus
Une forme de préparation ronde, dans un canal qui ne l’est pas…Une forme de préparation ronde, dans un canal qui ne l’est pas…En savoir plus
Idée reçue : une conicité importante permet de mieux nettoyerIdée reçue : une conicité importante permet de mieux nettoyerEn savoir plus
Pronostic endodontique & pronostic global de la dentPronostic endodontique & pronostic global de la dentEn savoir plus
Différence entre pâte et ciment de scellement canalaireDifférence entre pâte et ciment de scellement canalaireEn savoir plus
Tester la fluidité d’un biomatériau endodontiqueTester la fluidité d’un biomatériau endodontiqueEn savoir plus
La réaction de prise des matériaux biocéramiquesLa réaction de prise des matériaux biocéramiquesEn savoir plus
Matériaux biocéramiques : classification par nature chimiqueMatériaux biocéramiques : classification par nature chimiqueEn savoir plus
Les matériaux biocéramiques sont également appelés matériaux hydrauliquesLes matériaux biocéramiques sont également appelés matériaux hydrauliquesEn savoir plus
Cavité d’accès mini invasive et identification des canauxCavité d’accès mini invasive et identification des canauxEn savoir plus
Cavité d’accès trop petite : quel est le problème principal ?Cavité d’accès trop petite : quel est le problème principal ?En savoir plus
4 conditions améliorent la survie des dents traitées au niveau canalaire4 conditions améliorent la survie des dents traitées au niveau canalaireEn savoir plus
HAS 2024 : l’antibioprophylaxie en endodontieHAS 2024 : l’antibioprophylaxie en endodontieEn savoir plus
HAS 2024 : actes endodontiques autorisés sur patient haut risque d’endocardite infectieuseHAS 2024 : actes endodontiques autorisés sur patient haut risque d’endocardite infectieuseEn savoir plus
Décision thérapeutique et pathologies médicalesDécision thérapeutique et pathologies médicalesEn savoir plus
Biphosphonate/anticorps monoclonal : recommandationsBiphosphonate/anticorps monoclonal : recommandationsEn savoir plus
Biomatériaux d’obturation & cahier des chargesBiomatériaux d’obturation & cahier des chargesEn savoir plus
Douleur & endodontie : les différentes douleurs post-opératoiresDouleur & endodontie : les différentes douleurs post-opératoiresEn savoir plus
Douleur & endodontie : douleur hétérotopiqueDouleur & endodontie : douleur hétérotopiqueEn savoir plus
Radio-opacité des biomatériaux d’obturation canalaireRadio-opacité des biomatériaux d’obturation canalaireEn savoir plus
La manipulation des biomatériaux endodontiquesLa manipulation des biomatériaux endodontiquesEn savoir plus
Formation Chirurgie Endodontique 25-26 mars 2024Formation Chirurgie Endodontique 25-26 mars 2024En savoir plus
Les traitements initiaux sont-ils tous simples ?Les traitements initiaux sont-ils tous simples ?En savoir plus
Radiographie en endodontie : nécessaire et suffisante ?Radiographie en endodontie : nécessaire et suffisante ?En savoir plus
Quel est le problème avec les fêlures ou cracks ?Quel est le problème avec les fêlures ou cracks ?En savoir plus
Les conséquences d’un mauvais choix de diamètre apicalLes conséquences d’un mauvais choix de diamètre apicalEn savoir plus
Traiter les canaux, c’est travailler la dentineTraiter les canaux, c’est travailler la dentineEn savoir plus
Choisir le bon diamètre de préparation apicaleChoisir le bon diamètre de préparation apicaleEn savoir plus
Les risques de l’usage d’un instrument trop ridige en endodontieLes risques de l’usage d’un instrument trop ridige en endodontieEn savoir plus
Est-il toujours pertinent de traiter une dent canalairement ?Est-il toujours pertinent de traiter une dent canalairement ?En savoir plus
Configurations canalaires des incisives mandibulairesConfigurations canalaires des incisives mandibulairesEn savoir plus
Diagnostic nécrose pulpaire & abcès apical aiguëDiagnostic nécrose pulpaire & abcès apical aiguëEn savoir plus
3 faits sur la résorption radiculaire externe cervicale3 faits sur la résorption radiculaire externe cervicaleEn savoir plus
Résorptions radiculaires cervicales externesRésorptions radiculaires cervicales externesEn savoir plus
Classification des résorptions radiculaires externesClassification des résorptions radiculaires externesEn savoir plus
DUEEC : retour sur 60 cas de traitements canalaires, réflexions et évolutionsDUEEC : retour sur 60 cas de traitements canalaires, réflexions et évolutionsEn savoir plus
Les limites des radiographies rétro-alvéolairesLes limites des radiographies rétro-alvéolairesEn savoir plus
Classification des fêlures/fractures dentairesClassification des fêlures/fractures dentairesEn savoir plus
Dents traitées canalairement et risque d’extractionDents traitées canalairement et risque d’extractionEn savoir plus
Taux de survie des dents traitées et couronnées avec fêluresTaux de survie des dents traitées et couronnées avec fêluresEn savoir plus
Les conséquences d’une résection apicale vs une alvéolyse horizontaleLes conséquences d’une résection apicale vs une alvéolyse horizontaleEn savoir plus
Endodontistes et troubles musculo-squelettiquesEndodontistes et troubles musculo-squelettiquesEn savoir plus
Cas lésion carieuse avancée et pulpite aiguë : quelle zone de contamination ?Cas lésion carieuse avancée et pulpite aiguë : quelle zone de contamination ?En savoir plus
Moyenne des diamètres apicaux anatomiques selon le type de dentMoyenne des diamètres apicaux anatomiques selon le type de dentEn savoir plus
Quel est le % de risque qu’une dent traitée au niveau canalaire, soit extraite pour raison endodontique ?Quel est le % de risque qu’une dent traitée au niveau canalaire, soit extraite pour raison endodontique ?En savoir plus
Quelle est la valeur la plus importante dans la prise de décision thérapeutique des patients ?Quelle est la valeur la plus importante dans la prise de décision thérapeutique des patients ?En savoir plus
Parodontite apicale symptomatique sur pulpe précédemment traitéeParodontite apicale symptomatique sur pulpe précédemment traitéeEn savoir plus
Seuil de bactéries et lésion osseuse apicaleSeuil de bactéries et lésion osseuse apicaleEn savoir plus
Les raisons d’extraire des dents traitées au niveau canalaireLes raisons d’extraire des dents traitées au niveau canalaireEn savoir plus
Retour sur le 16 novembre : endodontie minimalement invasiveRetour sur le 16 novembre : endodontie minimalement invasiveEn savoir plus
Alignement du centre du foramen avec le vertex de la dentAlignement du centre du foramen avec le vertex de la dentEn savoir plus
Restaurer une cavité ultra minimalement invasive par restauration directe compositeRestaurer une cavité ultra minimalement invasive par restauration directe compositeEn savoir plus
Longueur de la partie active de nos instruments canalairesLongueur de la partie active de nos instruments canalairesEn savoir plus
Les éléments de resistance biomécanique de la dentLes éléments de resistance biomécanique de la dentEn savoir plus
Comment calculer la conicité d’un instrument canalaire ?Comment calculer la conicité d’un instrument canalaire ?En savoir plus
Inactivateurs et chlorine de l’hypochorite de sodiumInactivateurs et chlorine de l’hypochorite de sodiumEn savoir plus
Endo & photo : cas d’une thérapeutique d’extractionEndo & photo : cas d’une thérapeutique d’extractionEn savoir plus
Quelques règles anatomiques pour une molaire mandibulaireQuelques règles anatomiques pour une molaire mandibulaireEn savoir plus
Quelles sont les propriétés de l’irrigant idéal ?Quelles sont les propriétés de l’irrigant idéal ?En savoir plus
Formation : utilisation du microscope opératoire en omnipratiqueFormation : utilisation du microscope opératoire en omnipratiqueEn savoir plus
L’instrumentation permet-elle de toucher toutes les parois canalaires ?L’instrumentation permet-elle de toucher toutes les parois canalaires ?En savoir plus
Conférence : 16 Novembre – Endodontie Minimalement invasiveConférence : 16 Novembre – Endodontie Minimalement invasiveEn savoir plus
Quel est le rôle de l’hypochlorite au cours de la préparation chimio-mécanique ?Quel est le rôle de l’hypochlorite au cours de la préparation chimio-mécanique ?En savoir plus
Jusqu’où doit être réalisée la résection apicale en chirurgie endodontique ?Jusqu’où doit être réalisée la résection apicale en chirurgie endodontique ?En savoir plus
Pulpe nécrosée et abcès apical symptomatiquePulpe nécrosée et abcès apical symptomatiqueEn savoir plus
𝐐𝐮𝐞𝐥𝐬 𝐬𝐨𝐧𝐭 𝐥𝐞𝐬 𝐞́𝐥𝐞́𝐦𝐞𝐧𝐭𝐬 𝐨𝐛𝐬𝐞𝐫𝐯𝐚𝐛𝐥𝐞𝐬 𝐬𝐮𝐫 𝐜𝐞𝐭𝐭𝐞 𝐫𝐚𝐝𝐢𝐨𝐠𝐫𝐚𝐩𝐡𝐢𝐞 𝟐𝐃 ?𝐐𝐮𝐞𝐥𝐬 𝐬𝐨𝐧𝐭 𝐥𝐞𝐬 𝐞́𝐥𝐞́𝐦𝐞𝐧𝐭𝐬 𝐨𝐛𝐬𝐞𝐫𝐯𝐚𝐛𝐥𝐞𝐬 𝐬𝐮𝐫 𝐜𝐞𝐭𝐭𝐞 𝐫𝐚𝐝𝐢𝐨𝐠𝐫𝐚𝐩𝐡𝐢𝐞 𝟐𝐃 ?En savoir plus
Résorption radiculaire externe inflammatoire à porte d’entrée mésialeRésorption radiculaire externe inflammatoire à porte d’entrée mésialeEn savoir plus
Quels sont les signes cliniques qui orientent vers le diagnostic de fêlure/fracture de façon statistiquement significative ?Quels sont les signes cliniques qui orientent vers le diagnostic de fêlure/fracture de façon statistiquement significative ?En savoir plus
Cas d’une Parodontite apicale aigüe en rapport avec une infection intra-canalaireCas d’une Parodontite apicale aigüe en rapport avec une infection intra-canalaireEn savoir plus