- Traitement précédemment initié
- 𝐎𝐬 𝐩𝐞́𝐫𝐢–𝐚𝐩𝐢𝐜𝐚𝐥 𝐧𝐨𝐫𝐦𝐚𝐥
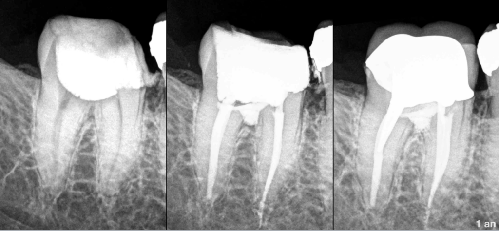
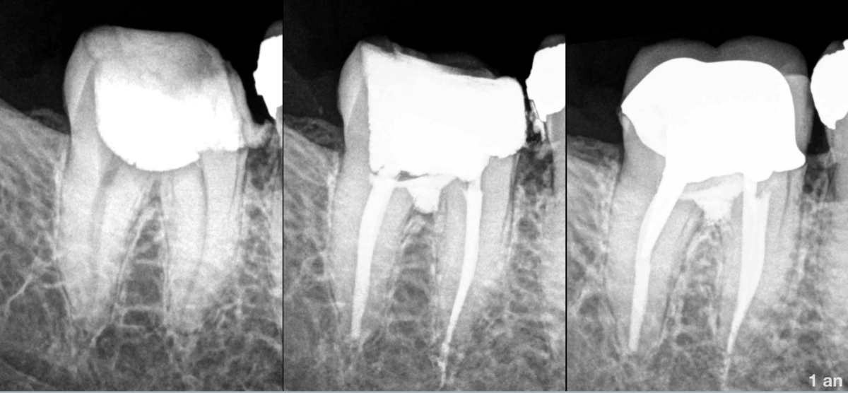
- Perforation de la furcation.
𝐓𝐫𝐚𝐢𝐭𝐞𝐦𝐞𝐧𝐭 𝐜𝐚𝐧𝐚𝐥𝐚𝐢𝐫𝐞 + traitement de la perforation.
💡 Comment traiter la perforation ?
🔹 𝐍𝐞 𝐩𝐚𝐬 𝐲 𝐭𝐨𝐮𝐜𝐡𝐞𝐫 pendant toute la durée du traitement canalaire (désinfection +++)
🔹 𝐀𝐜𝐢𝐝𝐞 𝐩𝐨𝐥𝐲𝐚𝐜𝐫𝐲𝐥𝐢𝐪𝐮𝐞
🔹 𝐑𝐢𝐧𝐜̧𝐚𝐠𝐞
🔹 𝐇𝐞́𝐦𝐨𝐬𝐭𝐚𝐬𝐞 (cônes de papier coupés ou, selon la profondeur de la perforation, éponge de collagène type Pangen)
🔹 𝐌𝐚𝐭𝐞́𝐫𝐢𝐚𝐮 𝐛𝐢𝐨𝐜𝐞́𝐫𝐚𝐦𝐢𝐪𝐮𝐞 (dans ce cas 𝐓𝐎𝐓𝐀𝐋𝐅𝐈𝐋𝐋 𝐅𝐚𝐬𝐭 𝐒𝐞𝐭 𝐏𝐮𝐭𝐭𝐲, 𝐅𝐊𝐆, distribué par Acteon)
🔹 𝐏𝐫𝐨𝐭𝐞𝐜𝐭𝐢𝐨𝐧 𝐝𝐞 𝐥𝐚 𝐳𝐨𝐧𝐞 𝐜𝐨𝐧𝐜𝐞𝐫𝐧𝐞́𝐞 par un 𝐂𝐕𝐈𝐌𝐀𝐑

