🔍 𝐋𝐞́𝐬𝐢𝐨𝐧 𝐞𝐧𝐝𝐨-𝐩𝐚𝐫𝐨𝐝𝐨𝐧𝐭𝐚𝐥𝐞 vraie, mixte ou combinée.
📍 𝐋𝐞́𝐬𝐢𝐨𝐧 𝐨𝐬𝐬𝐞𝐮𝐬𝐞 𝐚𝐩𝐢𝐜𝐚𝐥𝐞 d’origine endodontique.
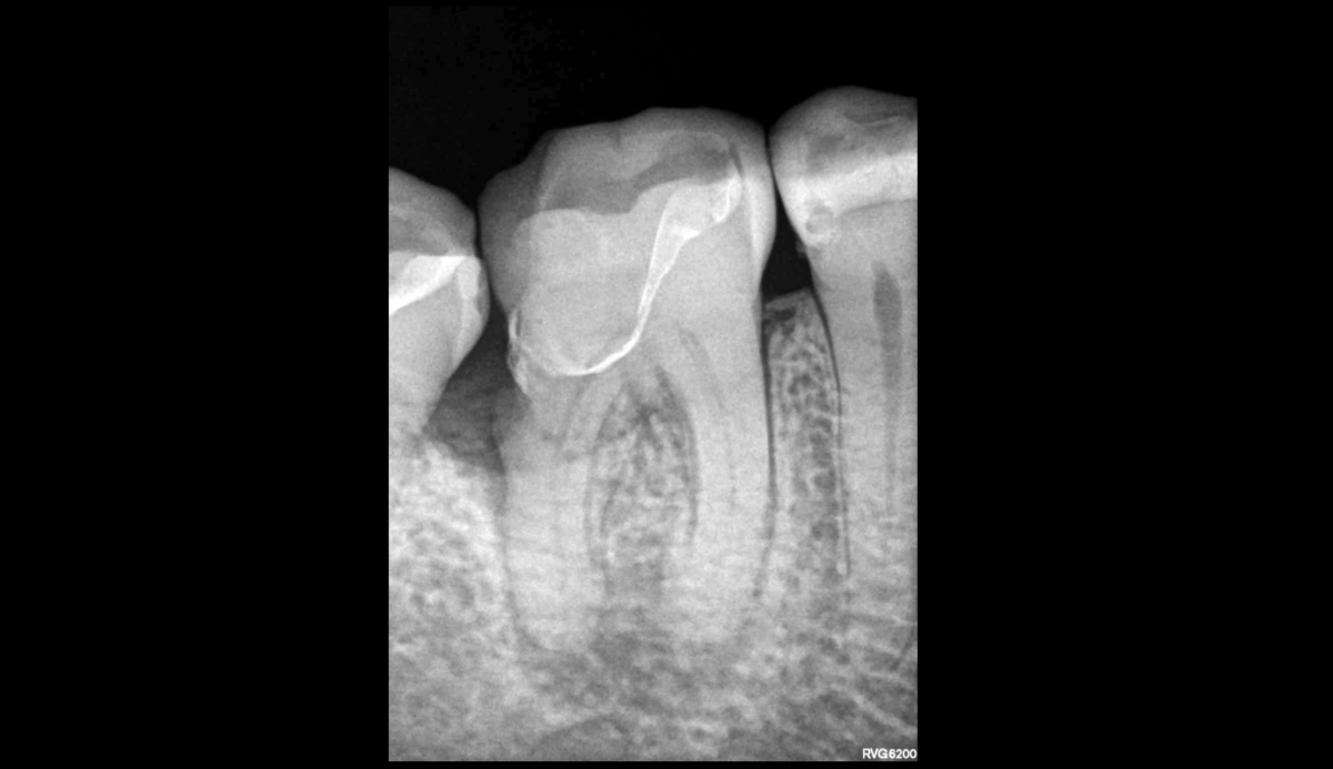
📍 𝐋𝐞́𝐬𝐢𝐨𝐧 𝐢𝐧𝐭𝐫𝐚-𝐨𝐬𝐬𝐞𝐮𝐬𝐞 𝐝𝐢𝐬𝐭𝐚𝐥𝐞 d’origine parodontale, en rapport avec :
— la 𝐥𝐢𝐦𝐢𝐭𝐞 𝐭𝐫𝐞̀𝐬 𝐛𝐚𝐬𝐬𝐞 de la restauration,
— voire une 𝐥𝐞́𝐬𝐢𝐨𝐧 𝐜𝐚𝐫𝐢𝐞𝐮𝐬𝐞 𝐫𝐞́𝐜𝐢𝐝𝐢𝐯𝐚𝐧𝐭𝐞
— ou une 𝐫𝐞́𝐬𝐨𝐫𝐩𝐭𝐢𝐨𝐧 𝐞𝐱𝐭𝐞𝐫𝐧𝐞.
🦷 𝐋’𝐚𝐩𝐩𝐫𝐨𝐜𝐡𝐞 𝐭𝐡𝐞́𝐫𝐚𝐩𝐞𝐮𝐭𝐢𝐪𝐮𝐞 des lésions endo-parodontales vraies ?
✅ Traitement endodontique
✅ Traitement parodontal
⚠️ 𝐌𝐚𝐢𝐬 𝐝𝐚𝐧𝐬 𝐜𝐞 𝐜𝐚𝐬, 𝐥𝐞 𝐟𝐚𝐜𝐭𝐞𝐮𝐫 𝐥𝐢𝐦𝐢𝐭𝐚𝐧𝐭 𝐚̀ 𝐥𝐚 𝐜𝐨𝐧𝐬𝐞𝐫𝐯𝐚𝐭𝐢𝐨𝐧 𝐞𝐬𝐭 𝐥𝐞 𝐭𝐫𝐚𝐢𝐭𝐞𝐦𝐞𝐧𝐭 𝐩𝐫𝐨𝐭𝐡𝐞́𝐭𝐢𝐪𝐮𝐞 et la possibilité de réaliser une nouvelle prothèse de façon fiable et pérenne dans le temps.

