🦷 Dents n°46 et 47
📍 𝐋𝐞́𝐬𝐢𝐨𝐧 𝐚𝐩𝐢𝐜𝐚𝐥𝐞 𝐞𝐭 𝐥𝐚𝐭𝐞́𝐫𝐨-𝐫𝐚𝐝𝐢𝐜𝐮𝐥𝐚𝐢𝐫𝐞 entre 46 et 47
❓ Quelle en est la cause ? 46 ? 47 ? Les deux ?
📌 ATCD de douleur au niveau de cette zone, mais situation asymptomatique le jour de la consultation
🔍 𝐋𝐞́𝐬𝐢𝐨𝐧 𝐝𝐞 𝐥𝐚 𝐟𝐮𝐫𝐜𝐚𝐭𝐢𝐨𝐧 au niveau 46, sans sondage parodontal → origine endo
🔁 𝐑𝐞𝐭𝐫𝐚𝐢𝐭𝐞𝐦𝐞𝐧𝐭 𝟒𝟔 𝟒𝟕 :
En mésial de 46, impossible d’obtenir la perméabilité en raison d’une oblitération canalaire des canaux MV et ML.
💬 𝐁𝐢𝐞𝐧𝐯𝐞𝐧𝐮𝐞 𝐝𝐚𝐧𝐬 𝐥𝐚 𝐯𝐫𝐚𝐢𝐞 𝐯𝐢𝐞 !
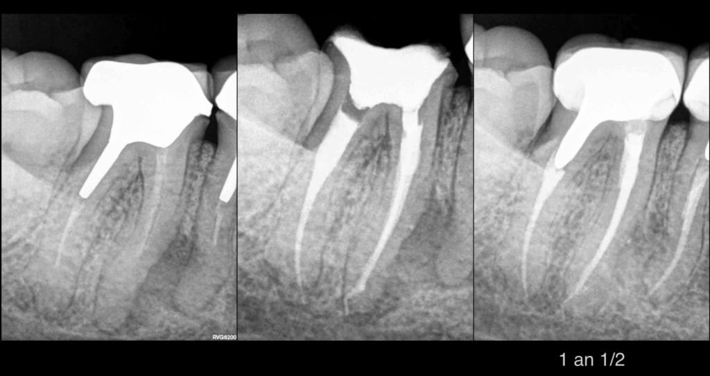
📸 À 1 an ½ :
✅ 𝐆𝐮𝐞𝐫𝐢𝐬𝐨𝐧 𝐝𝐞 𝐥𝐚 𝐥𝐞́𝐬𝐢𝐨𝐧 𝐚𝐩𝐢𝐜𝐚𝐥𝐞 𝐞𝐭 𝐥𝐚𝐭𝐞́𝐫𝐨-𝐫𝐚𝐝𝐢𝐜𝐮𝐥𝐚𝐢𝐫𝐞
✅ 𝐆𝐮𝐞𝐫𝐢𝐬𝐨𝐧 𝐝𝐞 𝐥𝐚 𝐥𝐞́𝐬𝐢𝐨𝐧 𝐝𝐞 𝐥𝐚 𝐟𝐮𝐫𝐜𝐚𝐭𝐢𝐨𝐧 𝟒𝟔

