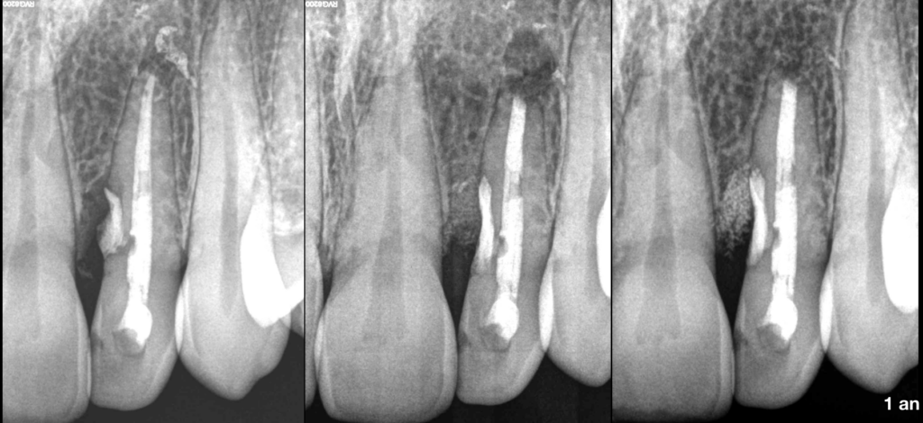
🦷 Indication un peu limite, mais enjeu de taille : 𝐥’𝐢𝐧𝐜𝐢𝐬𝐢𝐯𝐞 𝐥𝐚𝐭𝐞́𝐫𝐚𝐥𝐞 𝐝𝐞 𝐧𝐨𝐭𝐫𝐞 𝐜𝐡𝐞̀𝐫𝐞 𝐩𝐚𝐭𝐢𝐞𝐧𝐭𝐞.
📌 𝐏𝐮𝐥𝐩𝐞 𝐩𝐫𝐞́𝐜𝐞́𝐝𝐞𝐦𝐦𝐞𝐧𝐭 𝐭𝐫𝐚𝐢𝐭𝐞́𝐞
⚠️ 𝐏𝐚𝐫𝐨𝐝𝐨𝐧𝐭𝐢𝐭𝐞 𝐚𝐩𝐢𝐜𝐚𝐥𝐞 𝐬𝐲𝐦𝐩𝐭𝐨𝐦𝐚𝐭𝐢𝐪𝐮𝐞
📍 𝐀𝐓𝐂𝐃 𝐝𝐞 𝐭𝐞𝐧𝐭𝐚𝐭𝐢𝐯𝐞 𝐝𝐞 𝐭𝐫𝐚𝐢𝐭𝐞𝐦𝐞𝐧𝐭 𝐝𝐞 𝐫𝐞́𝐬𝐨𝐫𝐩𝐭𝐢𝐨𝐧 𝐫𝐚𝐝𝐢𝐜𝐮𝐥𝐚𝐢𝐫𝐞 𝐞𝐱𝐭𝐞𝐫𝐧𝐞 : 𝐝𝐞́𝐟𝐚𝐮𝐭 𝐨𝐬𝐬𝐞𝐮𝐱 𝐝𝐞 𝐫𝐞𝐠𝐚𝐫𝐝
🎯 Au programme : 𝐦𝐢𝐜𝐫𝐨𝐜𝐡𝐢𝐫𝐮𝐫𝐠𝐢𝐞
🔹 De la zone 𝐚𝐩𝐢𝐜𝐚𝐥𝐞
🔹 De la zone de la 𝐫𝐞́𝐬𝐨𝐫𝐩𝐭𝐢𝐨𝐧, obturée au CVIMAR + 𝐜𝐨𝐦𝐛𝐥𝐞𝐦𝐞𝐧𝐭 𝐨𝐬𝐬𝐞𝐮𝐱
📅 𝐑𝐞́𝐬𝐮𝐥𝐭𝐚𝐭 𝐞𝐟𝐟𝐢𝐜𝐚𝐜𝐞 𝐚̀ 𝟏 𝐚𝐧, et nous continuerons de surveiller l’efficacité de cette intervention annuellement.

