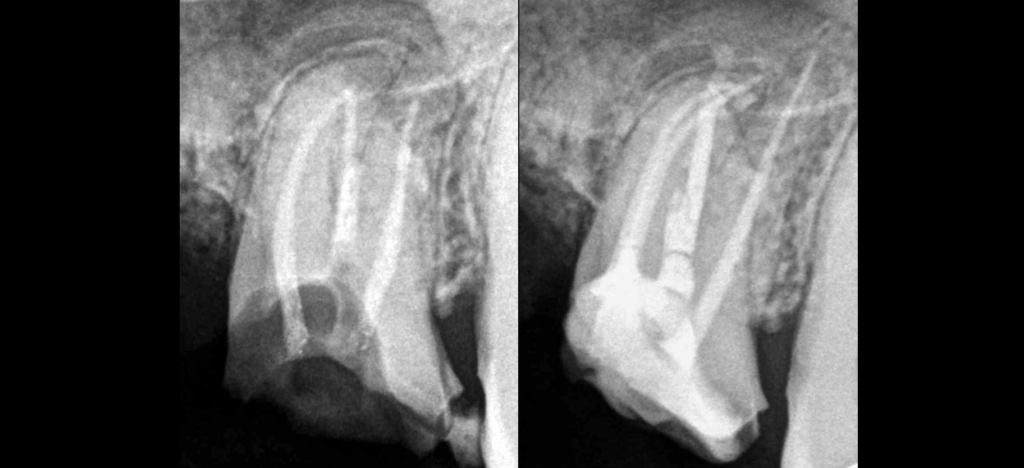
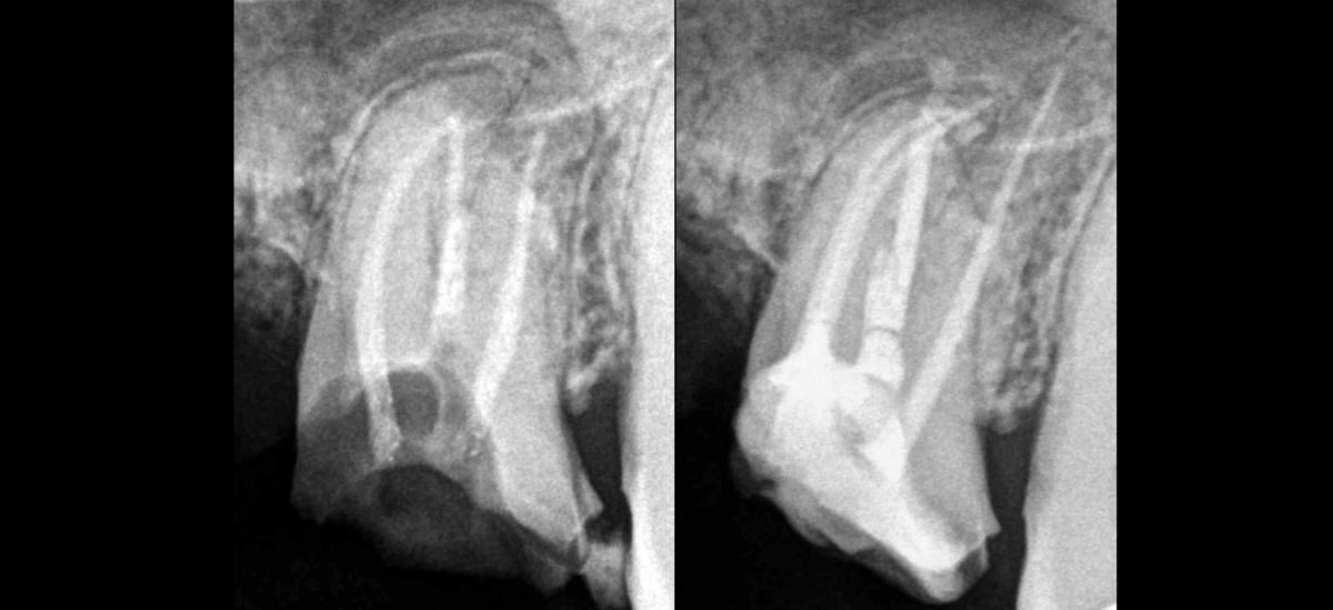
🔍 Pulpe précédemment traitée, os péri apical normal
Projet prothétique
📢 𝐓𝐨𝐮𝐣𝐨𝐮𝐫𝐬 𝐮𝐧 𝐜𝐡𝐚𝐥𝐥𝐞𝐧𝐠𝐞 𝐝𝐞 𝐫𝐞𝐭𝐫𝐚𝐢𝐭𝐞𝐫 𝐥𝐞𝐬 𝐜𝐚𝐧𝐚𝐮𝐱 𝐜𝐨𝐮𝐫𝐛𝐞𝐬 !
➡️ Désobturation au gates 1 dans la portion droite du canal
Puis limes manuelles : avec alternance 15 courte, 10 courte, 8 courte

