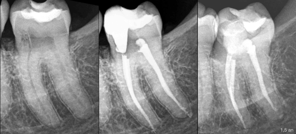
🔍 Pulpe normale, os péri apical normal
Résorption radiculaire externe cervicale inflammatoire
Traitement canalaire
Traitement de la résorption (curetage, restauration)
𝐐𝐮𝐞𝐥 𝐜𝐡𝐚𝐧𝐠𝐞𝐦𝐞𝐧𝐭 𝐩𝐨𝐮𝐯𝐨𝐧𝐬-𝐧𝐨𝐮𝐬 𝐨𝐛𝐬𝐞𝐫𝐯𝐞𝐫 𝟏 𝐚𝐧 ½ 𝐚𝐩𝐫𝐞̀𝐬 ?
–> Un wash out (élimination/disparition) de biomatériau dans la partie apicale
⚠️ Il s’agissait très probablement d’une sortie apicale vestibulaire ou linguale, quelques mm au-dessus de l’apex radiographique.
Le puff de biocéramique s’est fait éliminer avec les remaniements osseux.

