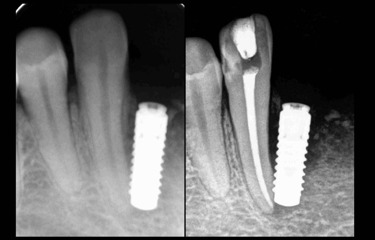
🦷 𝐐𝐮𝐚𝐧𝐝 𝐥’𝐢𝐦𝐩𝐥𝐚𝐧𝐭𝐨𝐥𝐨𝐠𝐢𝐞 𝐚 𝐮𝐧 𝐢𝐦𝐩𝐚𝐜𝐭 𝐞𝐧𝐝𝐨𝐝𝐨𝐧𝐭𝐢𝐪𝐮𝐞.
🚨 𝐏𝐮𝐥𝐩𝐢𝐭𝐞 𝐚𝐢𝐠𝐮ë 𝐢𝐫𝐫𝐞́𝐯𝐞𝐫𝐬𝐢𝐛𝐥𝐞 𝐭𝐫𝐚𝐢𝐭𝐞́𝐞 𝐞𝐧 𝐮𝐫𝐠𝐞𝐧𝐜𝐞 𝐩𝐚𝐫 𝐭𝐫𝐚𝐢𝐭𝐞𝐦𝐞𝐧𝐭 𝐜𝐚𝐧𝐚𝐥𝐚𝐢𝐫𝐞.

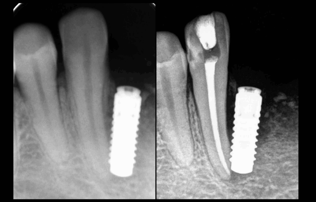
🦷 𝐐𝐮𝐚𝐧𝐝 𝐥’𝐢𝐦𝐩𝐥𝐚𝐧𝐭𝐨𝐥𝐨𝐠𝐢𝐞 𝐚 𝐮𝐧 𝐢𝐦𝐩𝐚𝐜𝐭 𝐞𝐧𝐝𝐨𝐝𝐨𝐧𝐭𝐢𝐪𝐮𝐞.
🚨 𝐏𝐮𝐥𝐩𝐢𝐭𝐞 𝐚𝐢𝐠𝐮ë 𝐢𝐫𝐫𝐞́𝐯𝐞𝐫𝐬𝐢𝐛𝐥𝐞 𝐭𝐫𝐚𝐢𝐭𝐞́𝐞 𝐞𝐧 𝐮𝐫𝐠𝐞𝐧𝐜𝐞 𝐩𝐚𝐫 𝐭𝐫𝐚𝐢𝐭𝐞𝐦𝐞𝐧𝐭 𝐜𝐚𝐧𝐚𝐥𝐚𝐢𝐫𝐞.
