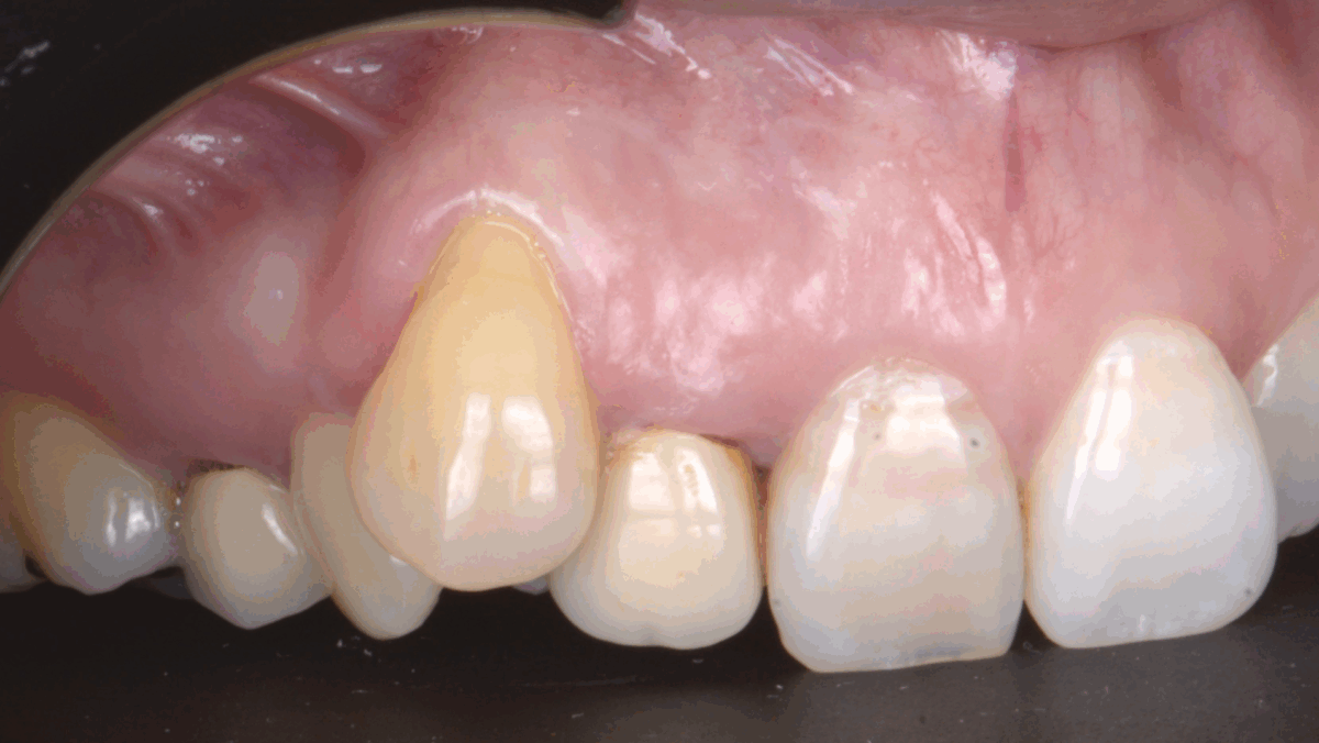
🔍 𝐈𝐧𝐝𝐢𝐜𝐚𝐭𝐢𝐨𝐧 𝐝𝐞 𝐦𝐢𝐜𝐫𝐨𝐜𝐡𝐢𝐫𝐮𝐫𝐠𝐢𝐞 𝐞𝐧𝐝𝐨𝐝𝐨𝐧𝐭𝐢𝐪𝐮𝐞 𝐩𝐨𝐮𝐫 𝐜𝐞𝐭𝐭𝐞 𝟏𝟐.
✂️ Quel serait votre tracé d’incision ?
📸 Faites une capture d’écran, dessinez sur l’image et envoyez-moi vos réponses en DM sur Instagram ! Je partagerai en story 😉

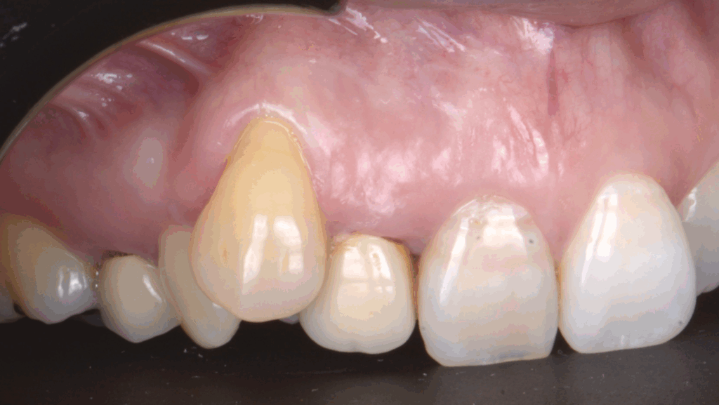
🔍 𝐈𝐧𝐝𝐢𝐜𝐚𝐭𝐢𝐨𝐧 𝐝𝐞 𝐦𝐢𝐜𝐫𝐨𝐜𝐡𝐢𝐫𝐮𝐫𝐠𝐢𝐞 𝐞𝐧𝐝𝐨𝐝𝐨𝐧𝐭𝐢𝐪𝐮𝐞 𝐩𝐨𝐮𝐫 𝐜𝐞𝐭𝐭𝐞 𝟏𝟐.
✂️ Quel serait votre tracé d’incision ?
📸 Faites une capture d’écran, dessinez sur l’image et envoyez-moi vos réponses en DM sur Instagram ! Je partagerai en story 😉
