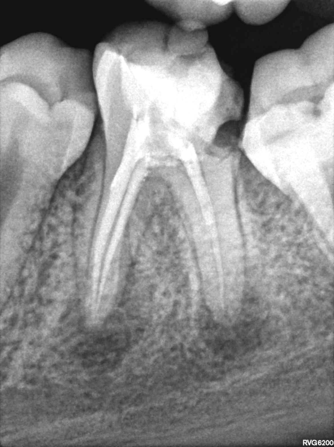
👨⚕️ 𝐍𝐨𝐭𝐫𝐞 𝐜𝐨𝐫𝐫𝐞𝐬𝐩𝐨𝐧𝐝𝐚𝐧𝐭 𝐧𝐨𝐮𝐬 𝐝𝐞𝐦𝐚𝐧𝐝𝐞 𝐬𝐢 « 𝐥’𝐞𝐧𝐝𝐨 𝐞𝐬𝐭 𝐫𝐞́𝐚𝐥𝐢𝐬𝐚𝐛𝐥𝐞 ».
Techniquement, oui.
Mais est-elle pour autant indiquée ❓

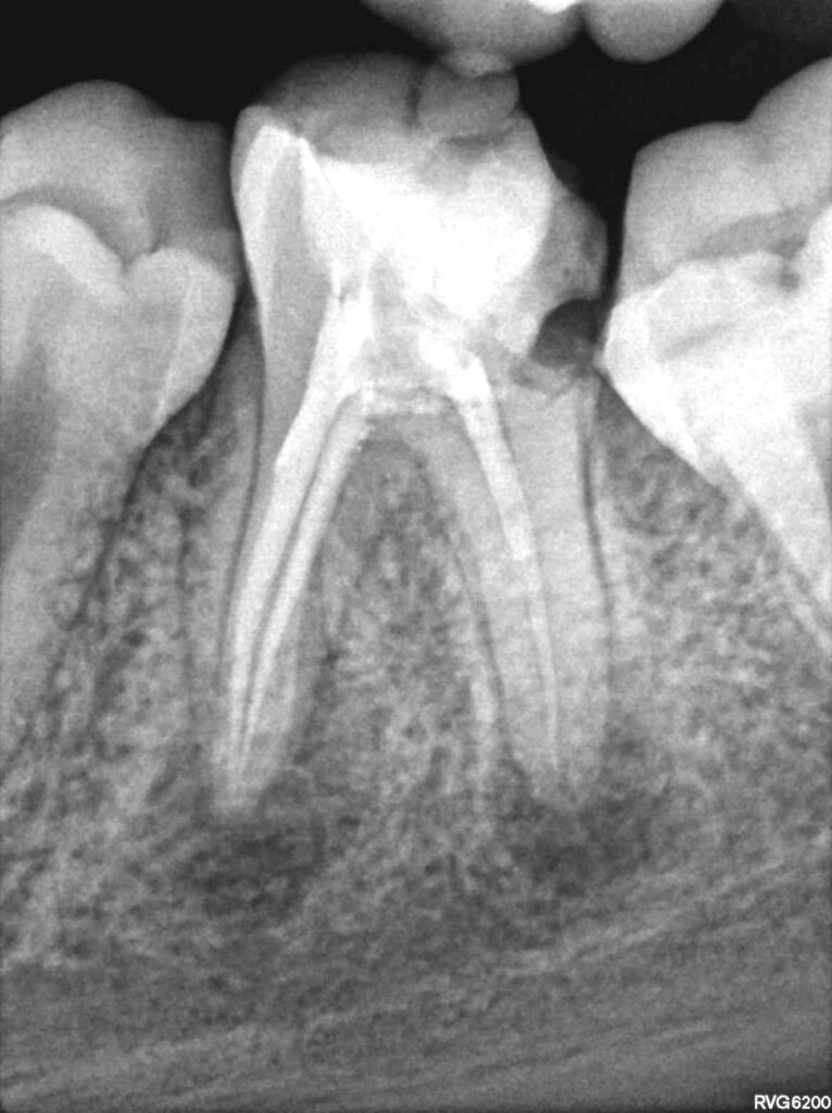
👨⚕️ 𝐍𝐨𝐭𝐫𝐞 𝐜𝐨𝐫𝐫𝐞𝐬𝐩𝐨𝐧𝐝𝐚𝐧𝐭 𝐧𝐨𝐮𝐬 𝐝𝐞𝐦𝐚𝐧𝐝𝐞 𝐬𝐢 « 𝐥’𝐞𝐧𝐝𝐨 𝐞𝐬𝐭 𝐫𝐞́𝐚𝐥𝐢𝐬𝐚𝐛𝐥𝐞 ».
Techniquement, oui.
Mais est-elle pour autant indiquée ❓
