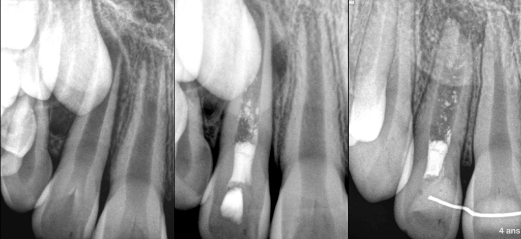
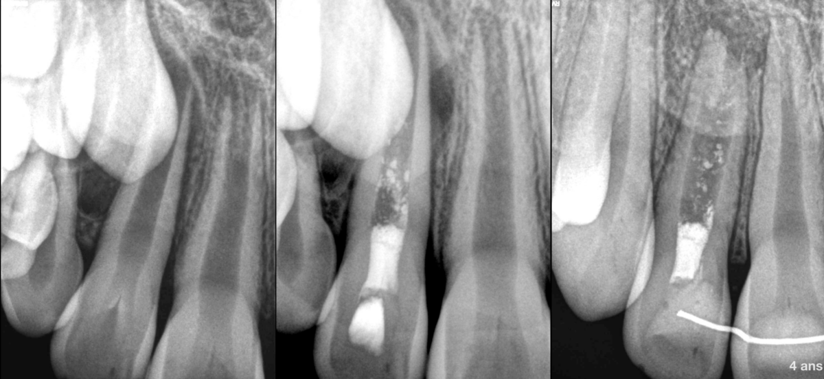
๐ ๐๐ฎ๐ฅ๐ฉ๐ ๐ง๐ฬ๐๐ซ๐จ๐ฌ๐ฬ๐, ๐ฉ๐๐ซ๐จ๐๐จ๐ง๐ญ๐ข๐ญ๐ ๐๐ฉ๐ข๐๐๐ฅ๐ ๐๐ฌ๐ฒ๐ฆ๐ฉ๐ญ๐จ๐ฆ๐๐ญ๐ข๐ช๐ฎ๐
๐ฆท ๐๐๐ง๐ญ ๐ฉ๐๐ซ๐ฆ๐๐ง๐๐ง๐ญ๐ ๐ข๐ฆ๐ฆ๐๐ญ๐ฎ๐ซ๐
๐ ๐๐๐๐ ๐๐ ๐ญ๐ซ๐๐ฎ๐ฆ๐๐ญ๐ข๐ฌ๐ฆ๐ ๐๐๐ง๐ญ๐๐ข๐ซ๐
โ ๐๐๐ฏ๐ข๐ญ๐๐ฅ๐ข๐ฌ๐๐ญ๐ข๐จ๐ง ๐ฬ ๐ ๐๐ง๐ฌ.
๐ Les observations ร 4 ans :
๐น ๐๐๐ฌ๐ญ ๐๐ ๐ฌ๐๐ง๐ฌ๐ข๐๐ข๐ฅ๐ข๐ญ๐ฬ ๐ฉ๐ฎ๐ฅ๐ฉ๐๐ข๐ซ๐ ๐ฉ๐จ๐ฌ๐ข๐ญ๐ข๐
๐น Pas dโaugmentation de ๐ฅโ๐ฬ๐ฉ๐๐ข๐ฌ๐ฌ๐๐ฎ๐ซ ๐๐ ๐๐๐ง๐ญ๐ข๐ง๐ ๐ซ๐๐๐ข๐๐ฎ๐ฅ๐๐ข๐ซ๐
๐น ๐๐ฉ๐๐ฑ๐จ๐ ๐ฬ๐ง๐ฬ๐ฌ๐ ๐๐๐๐๐๐ญ๐ฎ๐ฬ๐
๐น ๐โ๐จ๐ฌ ๐ฉ๐ฬ๐ซ๐ข–๐๐ฉ๐ข๐๐๐ฅ ๐๐ฌ๐ญ ๐ง๐จ๐ซ๐ฆ๐๐ฅ
โ ๐๐จ๐ฎ๐ฏ๐จ๐ง๐ฌ–๐ง๐จ๐ฎ๐ฌ ๐๐จ๐ง๐๐ฅ๐ฎ๐ซ๐ ๐ช๐ฎ๐ ๐ง๐จ๐ญ๐ซ๐ ๐ข๐ง๐ญ๐๐ซ๐ฏ๐๐ง๐ญ๐ข๐จ๐ง ๐๐ฌ๐ญ ๐๐๐๐ข๐๐๐๐ ?
โ๏ธ ๐๐ฎ๐ข !
๐ฏ ๐โ๐จ๐๐ฃ๐๐๐ญ๐ข๐ รฉtait de prolonger la durรฉe de vie de cette dent sur lโarcade en corrigeant un ๐ฉ๐ซ๐จ๐๐ฅ๐ฬ๐ฆ๐ ๐ข๐ง๐๐๐๐ญ๐ข๐๐ฎ๐ฑ/๐ข๐ง๐๐ฅ๐๐ฆ๐ฆ๐๐ญ๐จ๐ข๐ซ๐.
โจ ๐๐ ๐๐จ๐ง๐ฎ๐ฌ aurait รฉtรฉ dโobtenir ๐ฅโ๐ฬ๐๐ข๐๐ข๐๐๐ญ๐ข๐จ๐ง ๐ซ๐๐๐ข๐๐ฎ๐ฅ๐๐ข๐ซ๐ ๐๐จ๐ฆ๐ฉ๐ฅ๐ฬ๐ญ๐.

