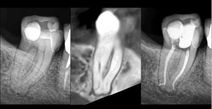
🔎 𝐒𝐮𝐬𝐩𝐢𝐜𝐢𝐨𝐧 𝐝’𝐚𝐧𝐚𝐭𝐨𝐦𝐢𝐞 𝐜𝐨𝐦𝐩𝐥𝐞𝐱𝐞, notamment avec la disparition de l’image canalaire en distal dans le 𝟏/𝟑 𝐚𝐩𝐢𝐜𝐚𝐥.
📸 𝐋’𝐚𝐧𝐚𝐥𝐲𝐬𝐞 𝐂𝐨𝐧𝐞 𝐁𝐞𝐚𝐦 permet d’anticiper ce qu’il se passe en 3D.

🔎 𝐒𝐮𝐬𝐩𝐢𝐜𝐢𝐨𝐧 𝐝’𝐚𝐧𝐚𝐭𝐨𝐦𝐢𝐞 𝐜𝐨𝐦𝐩𝐥𝐞𝐱𝐞, notamment avec la disparition de l’image canalaire en distal dans le 𝟏/𝟑 𝐚𝐩𝐢𝐜𝐚𝐥.
📸 𝐋’𝐚𝐧𝐚𝐥𝐲𝐬𝐞 𝐂𝐨𝐧𝐞 𝐁𝐞𝐚𝐦 permet d’anticiper ce qu’il se passe en 3D.
