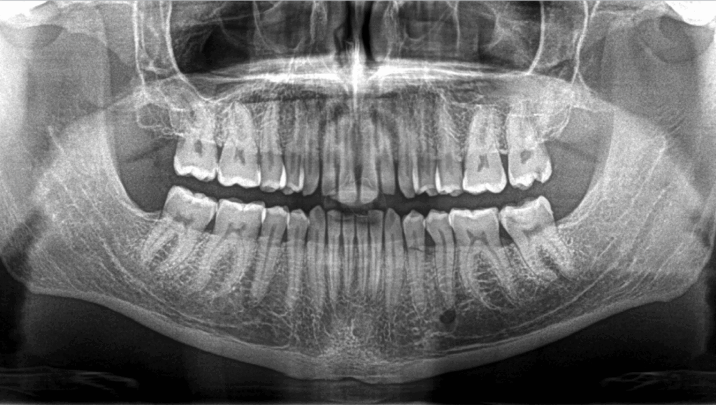
🔍 Douleur secteur 3, à la percussion, à la mastication, 𝐬𝐞𝐧𝐬𝐚𝐭𝐢𝐨𝐧 𝐝𝐞 𝐝𝐞𝐧𝐭 𝐥𝐨𝐧𝐠𝐮𝐞.
Quelle pourrait être l’étiologie de la 𝐧𝐞́𝐜𝐫𝐨𝐬𝐞 𝐩𝐮𝐥𝐩𝐚𝐢𝐫𝐞 et de la 𝐩𝐚𝐫𝐨𝐝𝐨𝐧𝐭𝐢𝐭𝐞 𝐚𝐩𝐢𝐜𝐚𝐥𝐞 𝐬𝐲𝐦𝐩𝐭𝐨𝐦𝐚𝐭𝐢𝐪𝐮𝐞 de cette 35 ?
➡️ Aucune !
Ce n’est pas la 35.
Et ce n’est pas une 𝐩𝐚𝐫𝐨𝐝𝐨𝐧𝐭𝐢𝐭𝐞 𝐚𝐩𝐢𝐜𝐚𝐥𝐞 𝐬𝐲𝐦𝐩𝐭𝐨𝐦𝐚𝐭𝐢𝐪𝐮𝐞.
🦷 L’image radioclaire péri-apicale est le 𝐟𝐨𝐫𝐚𝐦𝐞𝐧 𝐦𝐞𝐧𝐭𝐨𝐧𝐧𝐢𝐞𝐫.
🦷 Les symptômes proviennent de la dent n°34, 𝐟𝐫𝐚𝐜𝐭𝐮𝐫𝐞́𝐞.

