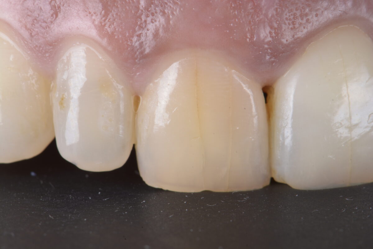
📸 𝐂𝐫𝐚𝐚𝐚𝐚𝐳𝐞 𝐥𝐢𝐧𝐞𝐬 !! fêlures de l’émail
❓ 𝐄𝐬𝐭-𝐜𝐞 𝐪𝐮’𝐢𝐥 𝐲 𝐚 𝐝𝐞𝐬 𝐞𝐧𝐝𝐨 𝐩𝐚𝐫𝐦𝐢 𝐯𝐨𝐮𝐬 𝐪𝐮𝐢 𝐫𝐞́𝐚𝐥𝐢𝐬𝐞𝐧𝐭 𝐝𝐞𝐬 𝐩𝐡𝐨𝐭𝐨𝐬 𝐞𝐧-𝐝𝐞𝐡𝐨𝐫𝐬 𝐝𝐮 𝐦𝐢𝐜𝐫𝐨𝐬𝐜𝐨𝐩𝐞 ?
📷 𝐒𝐢 𝐨𝐮𝐢, 𝐚𝐯𝐞𝐜 𝐪𝐮𝐞𝐥 𝐬𝐞𝐭-𝐮𝐩 ? 𝐃𝐢̂𝐭𝐞𝐬-𝐧𝐨𝐮𝐬 𝐭𝐨𝐮𝐭 !

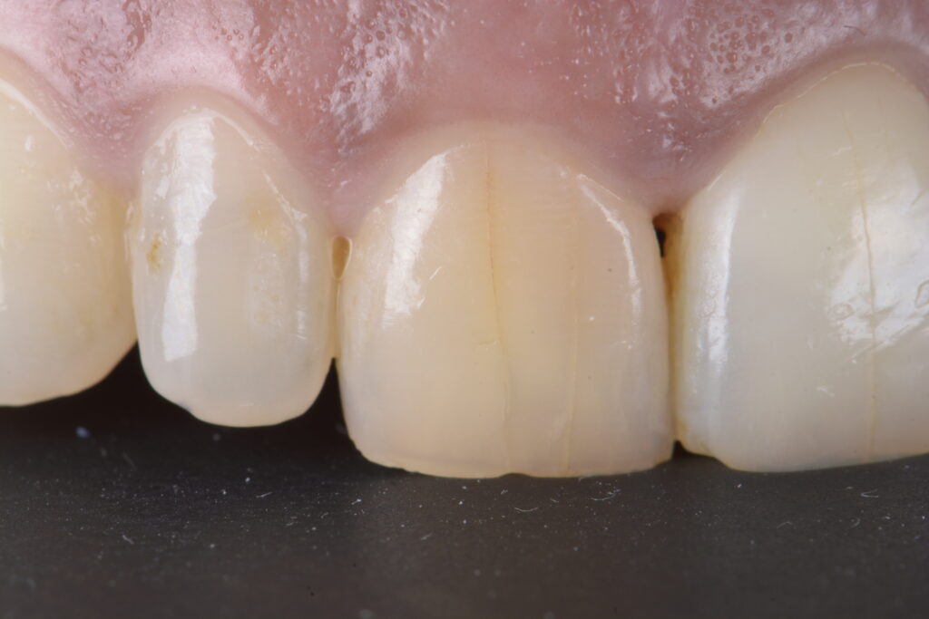
📸 𝐂𝐫𝐚𝐚𝐚𝐚𝐳𝐞 𝐥𝐢𝐧𝐞𝐬 !! fêlures de l’émail
❓ 𝐄𝐬𝐭-𝐜𝐞 𝐪𝐮’𝐢𝐥 𝐲 𝐚 𝐝𝐞𝐬 𝐞𝐧𝐝𝐨 𝐩𝐚𝐫𝐦𝐢 𝐯𝐨𝐮𝐬 𝐪𝐮𝐢 𝐫𝐞́𝐚𝐥𝐢𝐬𝐞𝐧𝐭 𝐝𝐞𝐬 𝐩𝐡𝐨𝐭𝐨𝐬 𝐞𝐧-𝐝𝐞𝐡𝐨𝐫𝐬 𝐝𝐮 𝐦𝐢𝐜𝐫𝐨𝐬𝐜𝐨𝐩𝐞 ?
📷 𝐒𝐢 𝐨𝐮𝐢, 𝐚𝐯𝐞𝐜 𝐪𝐮𝐞𝐥 𝐬𝐞𝐭-𝐮𝐩 ? 𝐃𝐢̂𝐭𝐞𝐬-𝐧𝐨𝐮𝐬 𝐭𝐨𝐮𝐭 !
