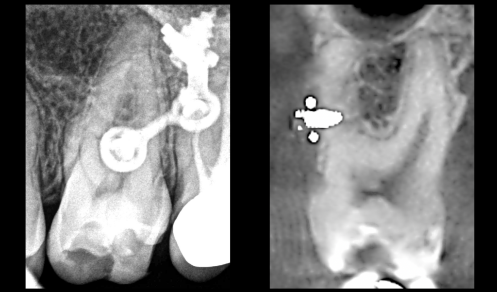
🔍 𝐍𝐨𝐭𝐫𝐞 𝐩𝐚𝐭𝐢𝐞𝐧𝐭 𝐞𝐬𝐭 𝐞𝐧 𝐩𝐮𝐥𝐩𝐢𝐭𝐞 𝐚𝐢𝐠𝐮̈𝐞 𝐢𝐫𝐫𝐞́𝐯𝐞𝐫𝐬𝐢𝐛𝐥𝐞 𝐬𝐮𝐫 𝐬𝐚 𝐝𝐞𝐧𝐭 𝐧°26 : 𝐩𝐨𝐮𝐫𝐪𝐮𝐨𝐢 ❓
➡️ Réponse : parce qu’une vis d’ostéosynthèse a été mise en place en plein milieu de la racine MV

🔍 𝐍𝐨𝐭𝐫𝐞 𝐩𝐚𝐭𝐢𝐞𝐧𝐭 𝐞𝐬𝐭 𝐞𝐧 𝐩𝐮𝐥𝐩𝐢𝐭𝐞 𝐚𝐢𝐠𝐮̈𝐞 𝐢𝐫𝐫𝐞́𝐯𝐞𝐫𝐬𝐢𝐛𝐥𝐞 𝐬𝐮𝐫 𝐬𝐚 𝐝𝐞𝐧𝐭 𝐧°26 : 𝐩𝐨𝐮𝐫𝐪𝐮𝐨𝐢 ❓
➡️ Réponse : parce qu’une vis d’ostéosynthèse a été mise en place en plein milieu de la racine MV
