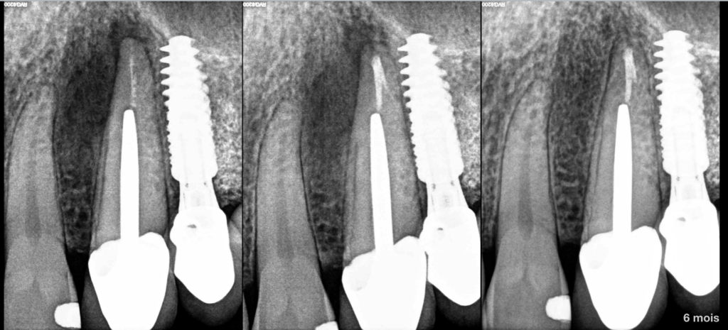
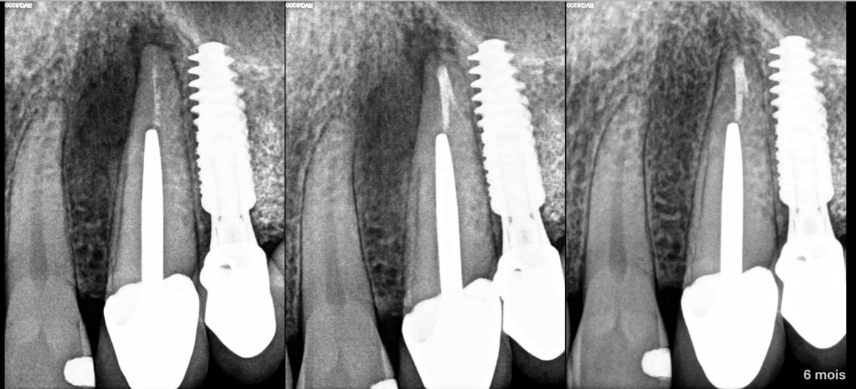
🦷 𝐐𝐮𝐞𝐥 𝐞𝐬𝐭 𝐥𝐞 𝐫𝐢𝐬𝐪𝐮𝐞 𝐪𝐮’𝐮𝐧𝐞 𝐩𝐞́𝐫𝐢–𝐢𝐦𝐩𝐥𝐚𝐧𝐭𝐢𝐭𝐞 𝐬𝐞 𝐝𝐞́𝐜𝐥𝐞𝐧𝐜𝐡𝐞 𝐥𝐨𝐫𝐬𝐪𝐮𝐞 𝐥’𝐢𝐦𝐩𝐥𝐚𝐧𝐭 𝐞𝐬𝐭 𝐚̀ 𝐩𝐫𝐨𝐱𝐢𝐦𝐢𝐭𝐞́ 𝐝’𝐮𝐧𝐞 𝐥𝐞́𝐬𝐢𝐨𝐧 𝐚𝐩𝐢𝐜𝐚𝐥𝐞 ?
🔎 𝐈𝐥 𝐞𝐬𝐭 𝐭𝐫𝐞̀𝐬 𝐟𝐚𝐢𝐛𝐥𝐞 ! 𝐏𝐨𝐮𝐫𝐪𝐮𝐨𝐢 ?
✅ 𝐏𝐚𝐫𝐜𝐞 𝐪𝐮𝐞 𝟗𝟗% 𝐝𝐞𝐬 𝐥𝐞́𝐬𝐢𝐨𝐧𝐬 𝐚𝐩𝐢𝐜𝐚𝐥𝐞𝐬 𝐧𝐞 𝐬𝐨𝐧𝐭 𝐩𝐚𝐬 𝐝𝐞𝐬 𝐥𝐞́𝐬𝐢𝐨𝐧𝐬 𝐢𝐧𝐟𝐞𝐜𝐭𝐢𝐞𝐮𝐬𝐞𝐬, 𝐦𝐚𝐢𝐬 𝐢𝐧𝐟𝐥𝐚𝐦𝐦𝐚𝐭𝐨𝐢𝐫𝐞𝐬 ! 𝐄𝐭 𝐜̧𝐚, 𝐜’𝐞𝐬𝐭 𝐥’𝐡𝐢𝐬𝐭𝐨𝐥𝐨𝐠𝐢𝐞 𝐪𝐮𝐢 𝐧𝐨𝐮𝐬 𝐥𝐞 𝐝𝐢𝐭.
📚 𝐋𝐚 𝐥𝐢𝐭𝐭𝐞́𝐫𝐚𝐭𝐮𝐫𝐞 𝐧𝐞 𝐫𝐚𝐩𝐩𝐨𝐫𝐭𝐞 𝐝’𝐚𝐢𝐥𝐥𝐞𝐮𝐫𝐬 𝐩𝐚𝐬 𝐝𝐞 𝐝𝐢𝐟𝐟𝐞́𝐫𝐞𝐧𝐜𝐞 𝐝𝐞 𝐫𝐞́𝐬𝐮𝐥𝐭𝐚𝐭𝐬 𝐞𝐧𝐭𝐫𝐞 𝐥𝐞𝐬 𝐞𝐱𝐭𝐫𝐚𝐜𝐭𝐢𝐨𝐧𝐬-𝐢𝐦𝐩𝐥𝐚𝐧𝐭𝐚𝐭𝐢𝐨𝐧𝐬 𝐢𝐦𝐦𝐞́𝐝𝐢𝐚𝐭𝐞𝐬, 𝐞𝐟𝐟𝐞𝐜𝐭𝐮𝐞́𝐞𝐬 𝐬𝐮𝐫 𝐬𝐞𝐜𝐭𝐞𝐮𝐫 𝐚𝐯𝐞𝐜 𝐥𝐞́𝐬𝐢𝐨𝐧 𝐚𝐩𝐢𝐜𝐚𝐥𝐞 𝐨𝐮 𝐧𝐨𝐧.

